和光市・朝霞市・成増で矯正治療は和光市デンタルオフィス

和光市デンタルオフィス

責任をもってあなたの歯並びを整える

和光市 矯正歯科 ハイブリッド矯正

マウスピース矯正
ワイヤー矯正
組み合わせた

ハイブリッド
矯正

和光市 矯正歯科 ハイブリッド矯正
グループ累計
矯正治療実績
1,600
費用内で
ワイヤー
矯正治療
可能
月額
6,900
で治療を
受けられる
和光市デンタルオフィス

患者様とのお約束

和光市 矯正歯科 ハイブリッド矯正 スタッフ
和光市 矯正歯科 ハイブリッド矯正

無料カウンセリングで、ご契約
を勧めることはいたしません。

和光市 矯正歯科 ハイブリッド矯正

あなたに合った治療計画を
矯正医がパターン別にご提案します。

和光市 矯正歯科 ハイブリッド矯正

格安マウスピース矯正や実績のない歯科医院による矯正治療で被害に遭われた方のご相談を受け付けています。
希望通りの歯並びにならなかった方や後戻りしてしまった方ご相談ください。

あの看板で有名な歯科医院です
和光市 矯正歯科 ハイブリッド矯正 看板広告
和光市 矯正歯科 ハイブリッド矯正 看板広告

和光市デンタルオフィスが
選ばれる12つの理由

  • 和光市 矯正歯科 ハイブリッド矯正 スタッフ

    グループ累計1,600件の
    矯正治療実績
    2015年6月~2024年12月

    矯正の累計治療件数1,600件以上。これまでの経験に基づき、患者様を綺麗な歯並びへと治療いたします。 朝霞市・和光市・成増で随一の症例数を誇ります

  • 和光市 矯正歯科 ハイブリッド矯正 スタッフ

    矯正治療に精通した
    歯科医師が安心安全を
    考慮して治療

    当院では、特別な講習を受けることで取得できる「インビザラインドクター」のライセンス(免許)を持つ3名の歯科医師が、矯正治療を担当いたします。

  • 和光市 矯正歯科 ハイブリッド矯正

    マウスピースとワイヤーを
    併用した
    "ハイブリッド矯正治療"

    当院では、万が一マウスピース矯正で理想の歯並びにならない場合、費用内でワイヤー矯正治療ができるので安心して理想の歯並びを手に入れることができます。

  • 和光市 矯正歯科 ハイブリッド矯正

    マウスピース矯正治療の
    スピードを上げる
    SureSmile VPro

    自宅で1日5分間使用することで、従来の治療期間を
    約2倍速で早くすることができます。

  • 和光市 矯正歯科 ハイブリッド矯正

    治療シミュレーションによる丁寧な治療計画を提案

    矯正治療専門の治療シミュレーションシステムを活用し、治療開始から完了までの歯並びの動きを解析していきます。
    丁寧な治療計画を心がけております。

  • 和光市 矯正歯科 ハイブリッド矯正

    セファロ分析で
    より正確な矯正治療

    セファロ分析とは矯正専門のレントゲンで側顔のX線写真を基にした分析方法です。これにより、骨格のバランスや歯の位置関係、成長の傾向などを詳しく調査することができます。

  • 和光市 矯正歯科 ハイブリッド矯正 スタッフ

    無料カウンセリング実施中
    歯並びのお悩み
    お気軽にご相談ください

    無理にご契約を迫ることは一切ございません。矯正専門医に話を聞きたい感覚でお気軽にご相談ください。

  • 和光市 矯正歯科 ハイブリッド矯正

    難症例や歯並びが
    後戻りした方も
    対応可能

    他医院で矯正治療をお断りされてしまった方の治療をお引き受けしています。一度ご相談ください。

  • 和光市 矯正歯科 ハイブリッド矯正

    月々6,600円(税込)から
    矯正治療が可能

    詳しくはページ下部の料金プランと初回カウンセリング時にお聞きください。
    ※自由診療につき公的医療保険適用外

  • 和光市 矯正歯科 ハイブリッド矯正

    公式LINEのご登録で
    お得なクーポンがもらえる

    公式LINEにご登録いただいた方限定で矯正治療費の割引がございます。

  • 和光市 矯正歯科 ハイブリッド矯正

    【アクセス良好!】
    和光市駅直結の歯科医院

    当院は和光市駅直結のエキアプレミエ和光3Fにございます。通院しやすいとご好評いただいています。

  • 和光市 矯正歯科 ハイブリッド矯正

    朝霞市・志木市・板橋区の
    方も来院いただいています

    和光市だけでなく、近隣地域の方々からご利用いただいています。

初回無料相談のご予約はこちら

 

毎月先着10名様限定!
ホワイトニングジェル1本サービス

和光市デンタルオフィスが
矯正治療できる歯の状態

  • 和光市 矯正歯科 ハイブリッド矯正

    デコボコな
    歯並び

  • 和光市 矯正歯科 ハイブリッド矯正

    出っ歯

  • 和光市 矯正歯科 ハイブリッド矯正

    上の歯が
    下の歯を隠す

  • 和光市 矯正歯科 ハイブリッド矯正

    前歯がすきっ歯

  • 和光市 矯正歯科 ハイブリッド矯正

    しゃくれた
    歯並び(受け口)

  • 和光市 矯正歯科 ハイブリッド矯正

    前歯が浮いて
    しまっている

患者様の歯の状態に合わせて
治療計画を立てますので、
お気軽に無料カウンセリングへ
お越しください。

マウスピース矯正と
ワイヤー矯正の特徴

  • マウスピース矯正
    (インビザライン)
  • ワイヤー矯正
    (全体/部分)
  • 和光市 矯正歯科 ハイブリッド矯正

    製品の特徴

    当院では、インビザラインというマウスピース型の矯正装置を利用します。
    インビザラインは世界で1,800万人が利用している、世界で最も普及しているマウスピース矯正です。
    治療は矯正検査の上、歯型を取って治療修了までのマウスピースを作成致し、このマウスピースを2週間ごとに交換して、少しずつ歯を動かしていきます。

    メリット

    ・透明なマウスピースで目立ちにくい

    ・食事や歯磨きのときは矯正装置を取り外し可能

    ・装着した時の不快感が少ない

    ・少しずつ歯を動かすため、痛みが少ない治療

    ・口内炎や虫歯など口腔内のトラブルが少ない

    デメリット

    ・ワイヤー矯正を併用しないと希望の歯並びにならないケースがある。

    ・医師の指示に従い正しく装置を使用しなければ、治療期間が延長する場合がある。

    ・マウスピース矯正で対応できないケースがある。

    副作用やリスク

    疼痛、咬合時痛、知覚過敏、歯根吸収、歯肉退縮が生じる可能性があります。

  • 和光市 矯正歯科 ハイブリッド矯正

    製品の特徴

    ワイヤー矯正は、一般的な治療方法で全ての歯並びの状態に対応可能です。
    装置を歯の“表側”もしくは“裏側”に装置を装着し 、そこにワイヤーを通して矯正します。
    透明なブラケットや白色のワイヤーもございますので、比較的目立ちにくく矯正をすることもできます。

    メリット

    ・基本的に全ての歯並びの方に治療が可能

    ・歯の“表側”に装置をつける場合、スムーズな発音が可能

    ・歯の“裏側”に装置をつける場合、かなり目立ちにくい矯正が可能

    デメリット

    ・取り外しができないため、虫歯や歯周病のリスクがある。

    ・歯の“表側”に装置をつけた場合は、装置は目立ちやすくなる。

    ・歯の“裏側”に装置をつけた場合は、発音がしづらいことがある。

    副作用やリスク

    疼痛、咬合時痛、知覚過敏、歯根吸収、歯肉退縮が生じる可能性があります。

和光市デンタルオフィス
矯正治療実績

グループ累計1,600件の矯正治療実績から
キレイな歯並びになるために最適な治療をいたします。

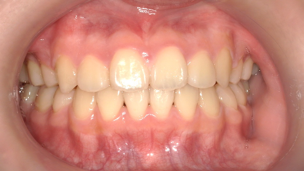
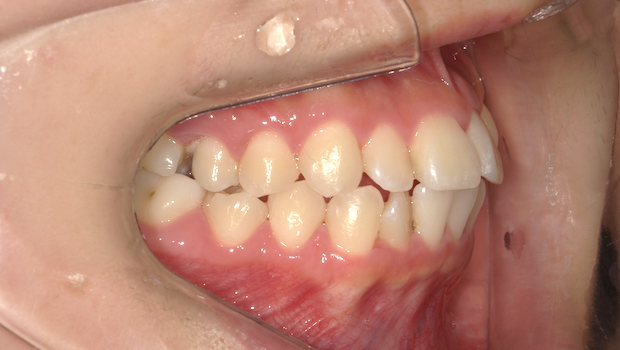
  • Before
    和光市 矯正歯科 ハイブリッド矯正 before
    After
    和光市 矯正歯科 ハイブリッド矯正 after
    Before
    和光市 矯正歯科 ハイブリッド矯正 before
    After
    和光市 矯正歯科 ハイブリッド矯正 after
    Before
    和光市 矯正歯科 ハイブリッド矯正 before
    After
    和光市 矯正歯科 ハイブリッド矯正 after
    Before
    和光市 矯正歯科 ハイブリッド矯正 before
    After
    和光市 矯正歯科 ハイブリッド矯正 after
    Before
    和光市 矯正歯科 ハイブリッド矯正 before
    After
    和光市 矯正歯科 ハイブリッド矯正 after
    矯正種類 成人矯正
    主訴 凸凹を治したい
    治療方法 インビザラインスタンダード
    抜歯有無 抜歯なし
    治療回数 2-3ヶ月に1回(13ヶ月)
    費用 693,000円
  • Before
    和光市 矯正歯科 ハイブリッド矯正 before
    After
    和光市 矯正歯科 ハイブリッド矯正 after
    Before
    和光市 矯正歯科 ハイブリッド矯正 before
    After
    和光市 矯正歯科 ハイブリッド矯正 after
    Before
    和光市 矯正歯科 ハイブリッド矯正 before
    After
    和光市 矯正歯科 ハイブリッド矯正 after
    Before
    和光市 矯正歯科 ハイブリッド矯正 before
    After
    和光市 矯正歯科 ハイブリッド矯正 after
    Before
    和光市 矯正歯科 ハイブリッド矯正 before
    After
    和光市 矯正歯科 ハイブリッド矯正 after
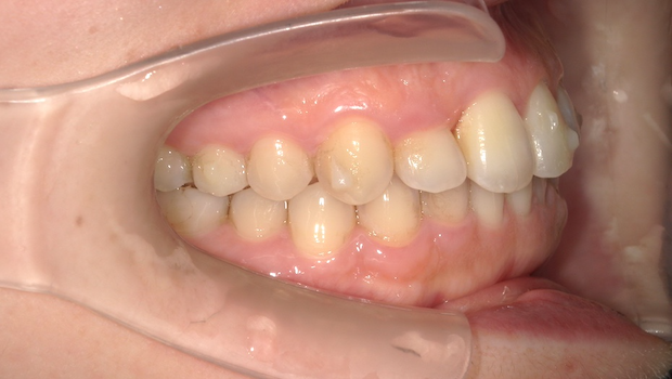
    矯正種類 成人矯正
    主訴 凸凹を治したい
    治療方法 ワイヤー矯正
    抜歯有無 抜歯あり
    治療回数 1ヶ月に1回(15ヶ月)
    費用 770,000円
  • Before
    和光市 矯正歯科 ハイブリッド矯正 before
    After
    和光市 矯正歯科 ハイブリッド矯正 after
    Before
    和光市 矯正歯科 ハイブリッド矯正 before
    After
    和光市 矯正歯科 ハイブリッド矯正 after
    Before
    和光市 矯正歯科 ハイブリッド矯正 before
    After
    和光市 矯正歯科 ハイブリッド矯正 after
    Before
    和光市 矯正歯科 ハイブリッド矯正 before
    After
    和光市 矯正歯科 ハイブリッド矯正 after
    Before
    和光市 矯正歯科 ハイブリッド矯正 before
    After
    和光市 矯正歯科 ハイブリッド矯正 after
    矯正種類 成人矯正
    主訴 前歯の傾きを治したい
    治療方法 インビザラインスタンダード
    抜歯有無 抜歯なし
    治療回数 2~3ヶ月に1回(11ヶ月)
    費用 770,000円
  • Before
    和光市 矯正歯科 ハイブリッド矯正 before
    After
    和光市 矯正歯科 ハイブリッド矯正 after
    Before
    和光市 矯正歯科 ハイブリッド矯正 before
    After
    和光市 矯正歯科 ハイブリッド矯正 after
    Before
    和光市 矯正歯科 ハイブリッド矯正 before
    After
    和光市 矯正歯科 ハイブリッド矯正 after
    Before
    和光市 矯正歯科 ハイブリッド矯正 before
    After
    和光市 矯正歯科 ハイブリッド矯正 after
    Before
    和光市 矯正歯科 ハイブリッド矯正 before
    After
    和光市 矯正歯科 ハイブリッド矯正 after
    矯正種類 成人矯正
    主訴 出っ歯を治したい
    治療方法 ワイヤー矯正
    抜歯有無 抜歯あり
    治療回数 1ヶ月に1回(24ヶ月)
    費用 715,000円
  • Before
    和光市 矯正歯科 ハイブリッド矯正 before
    After
    和光市 矯正歯科 ハイブリッド矯正 after
    Before
    和光市 矯正歯科 ハイブリッド矯正 before
    After
    和光市 矯正歯科 ハイブリッド矯正 after
    Before
    和光市 矯正歯科 ハイブリッド矯正 before
    After
    和光市 矯正歯科 ハイブリッド矯正 after
    Before
    和光市 矯正歯科 ハイブリッド矯正 before
    After
    和光市 矯正歯科 ハイブリッド矯正 after
    Before
    和光市 矯正歯科 ハイブリッド矯正 before
    After
    和光市 矯正歯科 ハイブリッド矯正 after
    矯正種類 成人矯正
    主訴 開咬を治したい
    治療方法 インビザラインスタンダード
    抜歯有無 抜歯なし
    治療回数 2~3ヶ月に1回(17ヶ月)
    費用 715,000円

初回無料相談のご予約はこちら

毎月先着10名様限定!
ホワイトニングジェル1本サービス

和光市デンタルオフィス
矯正治療の料金表

大人の矯正 / 12歳以上

初回相談 0円
矯正検査
セファロ分析のみ 33,000円
セファロ分析+
治療計画シミュレーション
55,000円
マウスピース矯正
ライト(部分矯正) 片顎:550,000円
両顎:605,000円
モデレート(部分~全体) 片顎:605,000円
両顎:660,000円
スタンダード(全体) 両顎:770,000円
アドバンス(全体・抜歯) 両顎:990,000円
マウスピース矯正の治療中にワイヤー矯正での修正が必要な場合は無料で治療します。
ワイヤー矯正(部分矯正)
片顎 275,000円
両顎 385,000円
ワイヤー矯正(全体矯正)
レジンブラケット 693,000円
セルフライゲーション 803,000円
デジタル矯正 913,000円
調整料・観察料 5,500円/回

子供の矯正 / 6~12歳

初回相談 0円
矯正検査 33,000円
拡大装置+ワイヤー矯正
330,000円
ワイヤー矯正治療を40万円で提供する場合が多いですが当院は比較的安い金額で提供しています。
マウスピース矯正
ファースト(6~9歳) 440,000円
フェーズ2(10~14歳) 440,000円
調整料・観察料 5,500円/回

支払い方法

1.現金払い/お振込

和光市 矯正歯科 ハイブリッド矯正

2.クレジット払い

和光市 矯正歯科 ハイブリッド矯正

各種クレジットカードでのお支払い可能です。

3.デンタルローン

デンタルローンの詳細に関しては、カウンセリング時にお伝えいたします。

年数 440,000円の場合
(月額支払い費用)
770,000円の場合
(月額支払い費用)
1年 37,400円 65,500円
2年 19,000円 33,400円
3年 19,000円 22,700円
4年 9,900円 17,300円
5年 8,000円 14,100円
6年 6,800円 12,000円
7年 5,900円 10,400円

医療費控除について

医療費控除とは、その年の1月1日から12月31日までの間に患者様本人、または家族全員の1年間の医療費が10万円を超えた場合に一定の金額が返還される制度です。
確定申告することで還付金を受け取ることができます。

成人矯正で治療費が770,000円の場合

所得額(万円) 返換金額(還付金+減税額)
250 145,000円(72,500+72,500)
300 145,000円(72,500+72,500)
400 217,500円(145,000+72,500)
500 217,500円(145,000+72,500)
600 217,500円(145,000+72,500)
700 239,250円(166,750+72,500)
800 239,250円(166,750+72,500)
900 239,250円(166,750+72,500)
1000 311,750円(239,250+72,500)

小児矯正で治療費が440,000円の場合

所得額(万円) 返換金額(還付金+減税額)
250 68,000円(34,000+34,000)
300 68,000円(34,000+34,000)
400 102,000円(68,000+34,000)
500 102,000円(68,000+34,000)
600 102,000円(68,000+34,000)
700 112,200円(78,200+34,000)
800 112,200円(78,200+34,000)
900 112,200円(78,200+34,000)
1000 146,200円(112,200+72,500)

和光市デンタルオフィス
矯正治療の流れ

  • 和光市 矯正歯科 ハイブリッド矯正
    STEP01

    ご予約/お問い合わせ

    お電話・ご予約フォームからご連絡ください。 初回カウンセリングや検査をしていただく日時をご予約いただきます。

  • 和光市 矯正歯科 ハイブリッド矯正 スタッフ
    STEP02

    初回無料相談(約45分)

    1. ・患者様の歯並びチェック
    2. ・患者様に近い症例ケースのご紹介
    3. ・料金やシステムのご説明
    4. ・ご希望の方は矯正検査や診断をいたします。
  • 和光市 矯正歯科 ハイブリッド矯正
    STEP03

    矯正検査(約30~45分)

    セファロ分析は患者様の側顔のX線写真を基にした分析方法です。これにより、骨格のバランスや歯の位置関係、成長の傾向などを詳しく調査することができます。矯正治療の計画や治療後の結果の評価には欠かせない方法となっています。

  • 和光市 矯正歯科 ハイブリッド矯正
    STEP04

    矯正診断のご説明

    矯正検査のご報告と治療計画、ご利用料金についてご説明いたします。ご自身やご家族としっかり相談した上で、ご契約いただくことを推奨しています。
    お急ぎの際は当日の契約も可能です。

  • 和光市 矯正歯科 ハイブリッド矯正 スタッフ
    STEP05

    ご契約

    治療計画や費用にご納得いただいた後にご契約となります。

  • 和光市 矯正歯科 ハイブリッド矯正 スタッフ
    STEP06

    治療開始

    基本的な来院頻度はマウスピース矯正が2ヶ月に1回、ワイヤー矯正が1ヶ月1回となります。 尚、治療計画により来院回数が異なります。

  • 和光市 矯正歯科 ハイブリッド矯正 スタッフ
    STEP07

    治療完了・メンテナンス

    治療完了後にキレイな歯並びを保つために定期的なメンテナンスに通院いただきます。

和光市デンタルオフィス
医院紹介/アクセス

クリニック・スタッフ風景

和光市 矯正歯科 ハイブリッド矯正 スタッフ

診療時間・休診日

診療時間
10:00~20:00
(休憩13:00~14:30)

▲=10:00~18:00(休憩13:00〜14:00)

【休診日】年末年始、臨時休診日(不定期)のみ

アクセス

アクセス

東武東上線 東京メトロ有楽町線 副都心線
和光市駅徒歩0分【駅直結・駅ナカ】

住所

〒351-0114
埼玉県和光市本町4-7 EQUiA PREMIE 和光3F

和光市デンタルオフィス
歯科医師の紹介

和光市 矯正歯科 ハイブリッド矯正 スタッフ

院長

医療法人社団大志 専務理事 兼 院長

古川 智基

Tomoki Furukawa

国際口腔インプラント学会 認定医

日本デジタル矯正歯科学会 認定医

厚生労働省認定 臨床研修医指導医

  • ・公立大学九州歯科大学卒業
  • ・愛知学院大学附属病院総合診療部にて研修修了
  • ・医療法人社団SCDC 静岡歯科(旧:静岡センター歯科) 副院長として研鑽、その後退職
  • ・医療法人社団大志 みずほ台駅ナカ歯科・矯正歯科 指導医/副院長 就任
  • ・医療法人社団大志 和光市デンタルオフィス インプラント・矯正ステーション 専務理事/院長 就任

初回無料相談のご予約はこちら

毎月先着10名様限定!
ホワイトニングジェル1本サービス