












和光市駅直結・毎日診療

あの看板で有名な
【和光市歯医者】



和光市歯医者・矯正歯科
和光市デンタルオフィス
患者様とのお約束

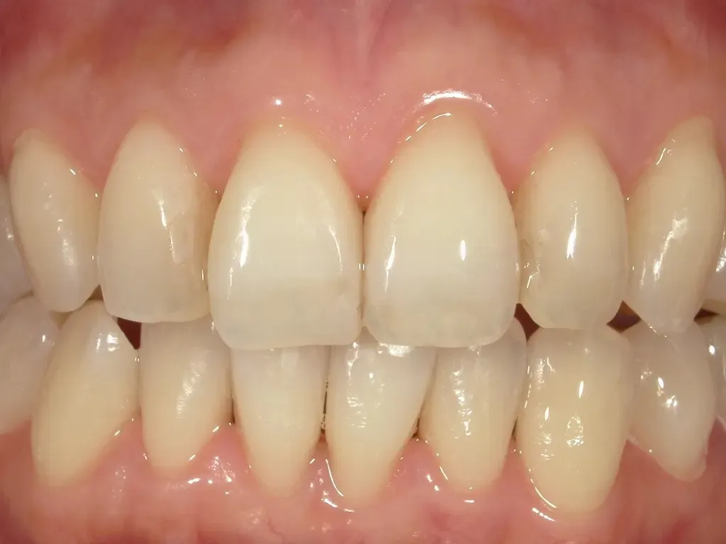
ホワイトスポット(白い斑点)の原因を
見つけ、1回の治療で改善します。
そもそも
ホワイトスポットが
できてしまう理由とは?

歯の白斑(ホワイトスポット)の原因は、
歯の表面のエナメル質からカルシウムやリン酸が溶け出す(脱灰)によって起こります。
1. 虫歯の初期脱灰
酸で歯の表面が脱灰します。
その結果、エナメル質の結晶が壊れることで、白く濁った部分ができ、ツヤがなくなります。
虫歯で穴が空く、直前の状態を指します。
2.エナメル質形成不全
乳幼児期の栄養不良や病気、高熱、外傷などで歯の形成がうまくいかない場合に生じます。
3.フッ素症(歯のフッ素沈着)
0〜8歳の歯の形成期にフッ素の過剰摂取により、エナメル質の形成が不均一になります。
その影響で白斑や斑点が出ることがあります。
4.矯正装置の影響
矯正装置の周囲のプラークが溜まりやすいことが原因でそこが脱灰してホワイトスポットになることがあります。
和光市歯医者・矯正歯科和光市デンタルオフィスでは
専用薬剤
”Icon(アイコン)” により
歯を削らない治療が可能です!

ホワイトスポット治療
Icon (アイコン) の特徴

Features 01
【削らない】
従来は、エナメル質をドリルで削り、プラスチック樹脂を詰める治療方法ですが、Icon(アイコン)はドリルを使わず、専用の薬剤をエナメル質に「浸透」させる審美治療です。
Features 01
【削らない】

従来は、エナメル質をドリルで削り、プラスチック樹脂を詰める治療方法ですが、Icon(アイコン)はドリルを使わず、専用の薬剤をエナメル質に「浸透」させる審美治療です。

Features 02
【麻酔は不要】
Iconを用いたホワイトスポット治療では、歯を削らず、特殊な薬剤でエナメル質表層を処理し、低粘度レジンを浸透させる方法をとります。
この治療は、歯の切削をほとんど行わないため痛みが生じにくく、通常は麻酔を必要としません。
Features 02
【麻酔は不要】

Iconを用いたホワイトスポット治療では、歯を削らず、特殊な薬剤でエナメル質表層を処理し、低粘度レジンを浸透させる方法をとります。
この治療は、歯の切削をほとんど行わないため痛みが生じにくく、通常は麻酔を必要としません。

Features 03
【即日で治る】
従来の治療は、数回に分けて治療する必要がありますが、Icon(アイコン)による治療は、何本でも1回あたり60分程度で完了します。
Features 03
【即日で治る】

従来の治療は、数回に分けて治療する必要がありますが、Icon(アイコン)による治療は、何本でも1回あたり60分程度で完了します。

Features 04
【自然な仕上がり】
従来の治療では、他の歯の色と差が出来てしまうため、違和感のある仕上がりになってしまうことが多いです。
Icon(アイコン)は歯の内部に専用の樹脂を染み込ませるため、白斑が歯の色と調和しやすいです。
Features 04
【自然な仕上がり】

従来の治療では、他の歯の色と差が出来てしまうため、違和感のある仕上がりになってしまうことが多いです。
Icon(アイコン)は歯の内部に専用の樹脂を染み込ませるため、白斑が歯の色と調和しやすいです。

Features 05
【長期間持続】
Icon薬剤は、長期的にも劣化しにくい浸透性レジンを使用しているため、一般的なレジンのように目立つ変色が起こる可能性は極めて低くなっています。
また、当院では治療後のアフターサポートにも力を入れておりますので、気になる点やご不安なことがございましたら、どうぞお気軽にご相談ください。
Features 05
【長期間持続】

Icon薬剤は、長期的にも劣化しにくい浸透性レジンを使用しているため、一般的なレジンのように目立つ変色が起こる可能性は極めて低くなっています。
また、当院では治療後のアフターサポートにも力を入れておりますので、気になる点やご不安なことがございましたら、どうぞお気軽にご相談ください。
ホワイトスポット治療
相談のご予約
初診は保険診療の負担金でご相談ができます
「毎月先着10名様限定!
ホワイトニングジェル1本サービス」
和光市歯医者・矯正歯科
和光市デンタルオフィス
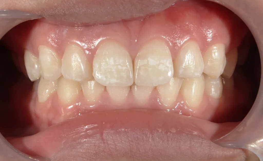
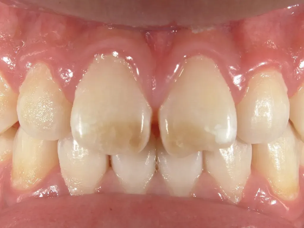
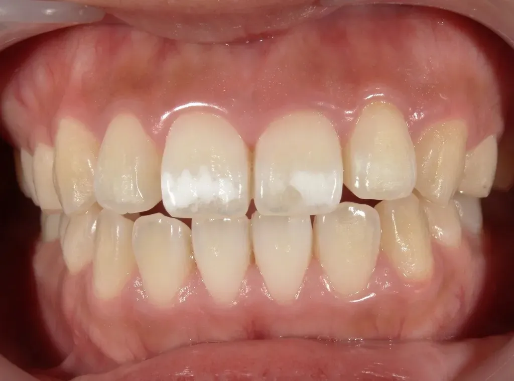
ホワイトスポット治療の
症例
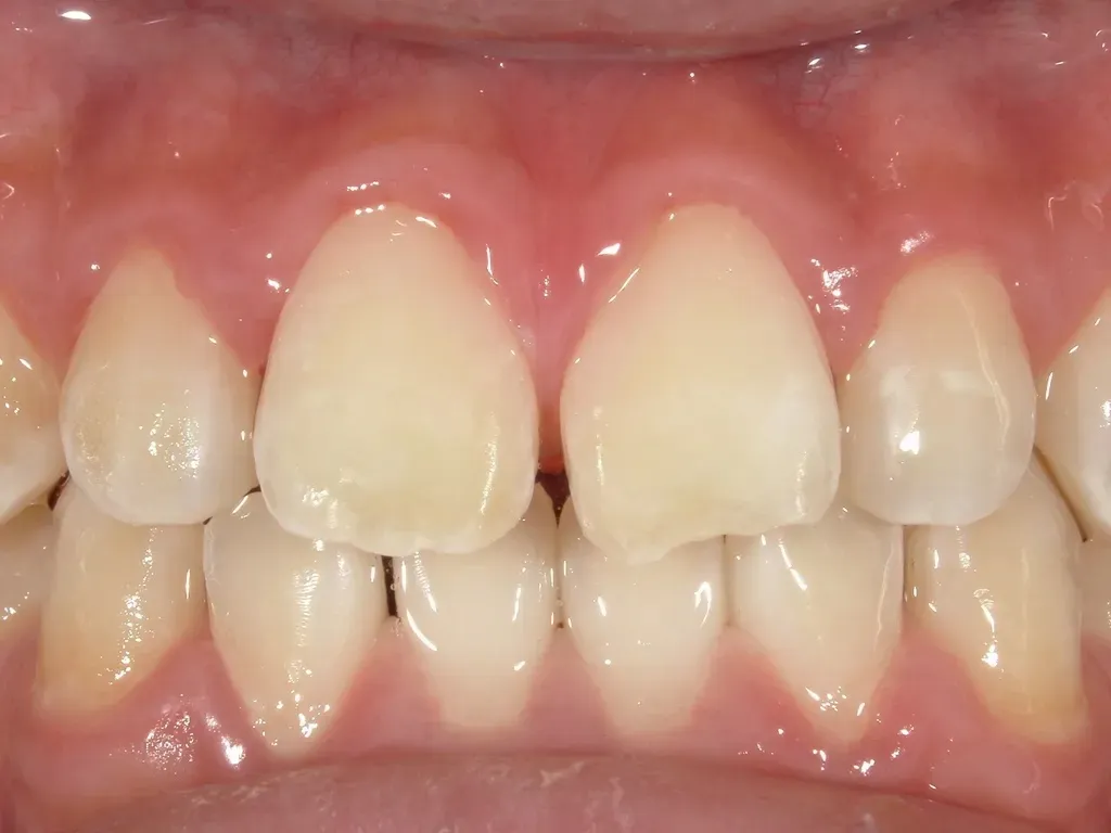
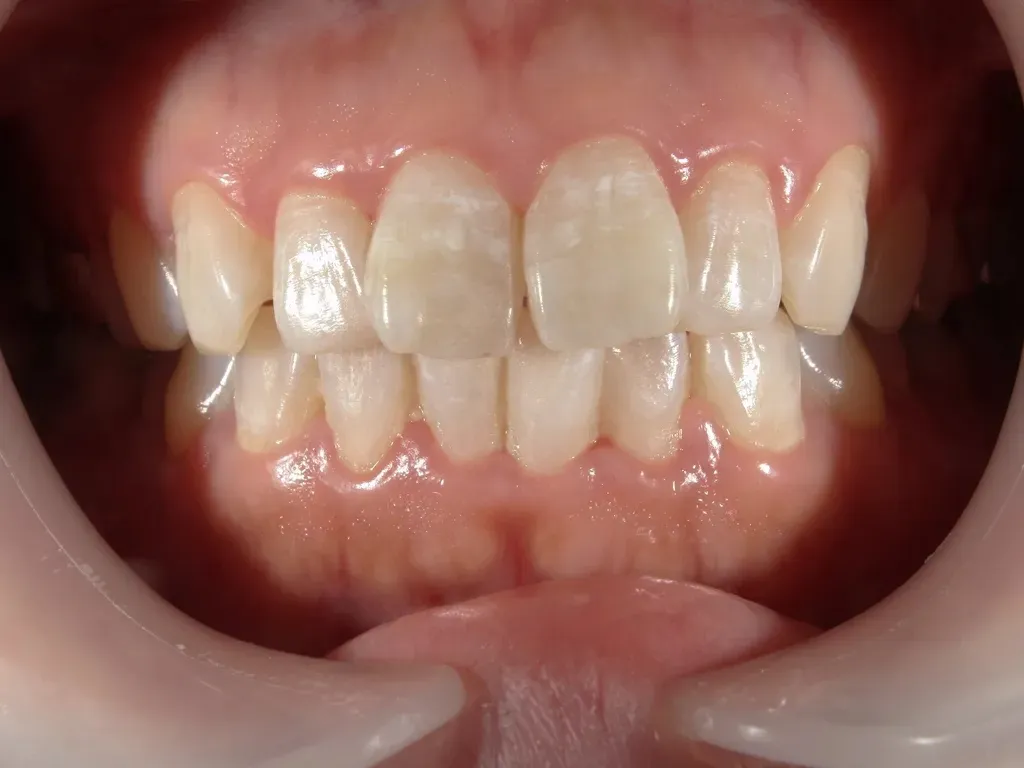
-
主 訴
歯の濁った茶色の部分と白い部分を目立たないようにしたい。
治療方法
icon(アイコン)
治療回数
1回
治療本数
4本
総額
(税込)110,000円(費用は当時のキャンぺーン適用もしくは提供価格を示します。)
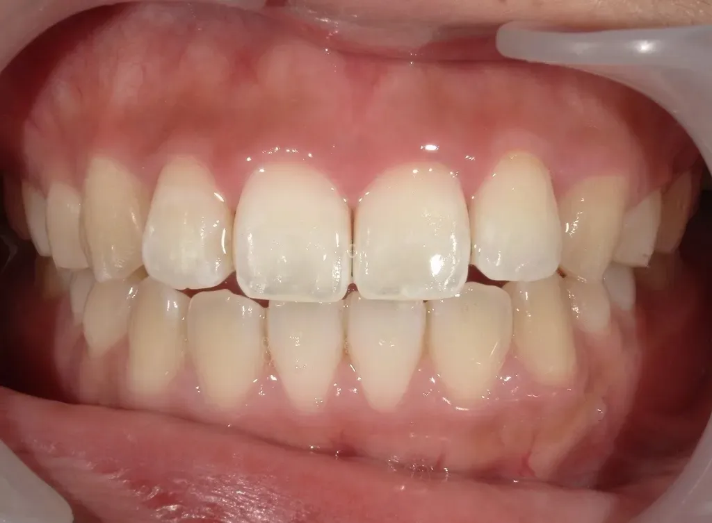
-
主 訴
歯の濁った茶色の部分と白い部分を目立たないようにしたい。
治療方法
icon(アイコン)
治療回数
1回
治療本数
2本
総額
(税込)59,400円(費用は当時のキャンぺーン適用もしくは提供価格を示します。)
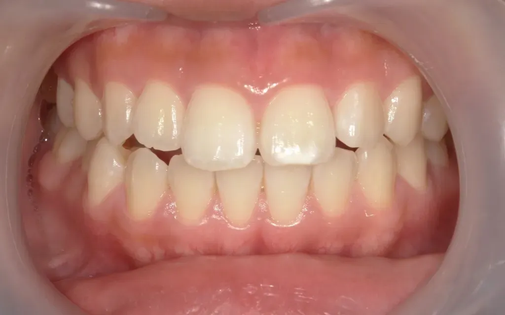
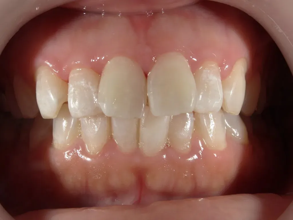
-
主 訴
前歯2本だけ白い部分を治してほしい。
治療方法
icon(アイコン)
治療回数
1回
治療本数
2本
総額
(税込)66,000円(費用は当時のキャンぺーン適用もしくは提供価格を示します。)
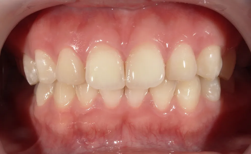
-
主 訴
左の前歯だけ白い部分があって消えない。
治療方法
icon(アイコン)
治療回数
1回
治療本数
1本
総額
(税込)44,000円(費用は当時のキャンぺーン適用もしくは提供価格を示します。)
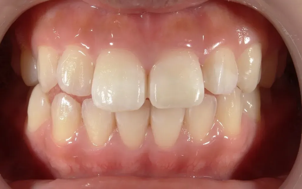
-
主 訴
前歯に大きな白い部分があってコンプレックスに感じている。
治療方法
icon(アイコン)
治療回数
1回
治療本数
2本
総額
(税込)66,000円(費用は当時のキャンぺーン適用もしくは提供価格を示します。)
-
主 訴
前歯に白い斑点がまばらにあって気になっている。
治療方法
icon(アイコン)
治療回数
1回
治療本数
2本
総額
(税込)66,000円(費用は当時のキャンぺーン適用もしくは提供価格を示します。)
ホワイトスポット治療のリスク
1.アイコンエッチで扱う15%塩酸が歯肉へ付着すると歯肉を傷めることがある。(ワイヤー矯正治療中の方は薬剤が漏れ出るため禁忌)
2.アイコンもレジン(プラスチック)のため、経年的に劣化し若干の変色を起こすことがある。
3.顕著なエナメル質形成不全などには対応が難しいことがある
和光市歯医者・矯正歯科
和光市デンタルオフィス
ホワイトスポット治療の
料金表
基本料金
-
1. Icon治療
-
55,000円
(税込)
※ 同時治療に限り、2本目以降は27,500円(税込)
支払い方法
- 現金払い
- クレジット払い:各種クレジットカードでのお支払い可能です。

和光市歯医者・矯正歯科
和光市デンタルオフィス
ホワイトスポット治療の
流れ
01
ホワイトスポット治療相談(約30分)
まずはホワイトスポットの相談にお越しください。初診は保険診療のご負担金がかかります。
症状の説明や治療方法、金額など丁寧に説明いたします。診断をもとにあなたにとって最適な治療法をご提案いたします。
ホワイトスポット治療
相談のご予約
初診は保険診療の負担金でご相談ができます
「毎月先着10名様限定!
ホワイトニングジェル1本サービス」

02
ご契約/お支払い
治療内容にご納得いただいた後にご契約となります。
また、お支払いは現金払い、お振り込み、クレジットカードに対応しています。

03
治療開始
Icon(アイコン)を使用したホワイトスポット治療を行います。1回あたり約60分で完了します。

ホワイトスポット治療
相談のご予約
初診は保険診療の負担金でご相談ができます
「毎月先着10名様限定!
ホワイトニングジェル1本サービス」
クリニック公式サイトを開く
-
住所
-
〒351-0114
埼玉県和光市本町4−7 EQUiA PREMIE 和光3F
-
アクセス
-
東武東上線 東京メトロ有楽町線 副都心線
和光市駅徒歩0分【駅直結・駅ナカ】
| 診療時間 | 月 | 火 | 水 | 木 | 金 | 土 | 日/祝 |
10:00~20:00休憩13:00~14:30 | ● | ● | ● | ● | ● | ▲ | ▲ |
▲ = 10:00~18:00 (休憩 13:00~14:00)【休診日】年末年始 / 臨時休診日(不定休)のみ | |||||||
和光市歯医者・矯正歯科
和光市デンタルオフィス
歯科医師の紹介

医療法人社団大志 専務理事 兼 院長
古川 智基
国際口腔インプラント学会 認定医
日本デジタル矯正歯科学会 認定医
厚生労働省認定 臨床研修医指導医
- 公立大学九州歯科大学卒業
- 愛知学院大学附属病院総合診療部にて研修修了
- 医療法人社団SCDC 静岡歯科(旧:静岡センター歯科) 副院長として研鑽、その後退職
- 医療法人社団大志 みずほ台駅ナカ歯科・矯正歯科 指導医/副院長 就任
- 医療法人社団大志 和光市歯医者・矯正歯科|和光市デンタルオフィス インプラント・矯正ステーション 専務理事/院長 就任
ホワイトスポット治療
相談のご予約
初診は保険診療の負担金でご相談ができます
「毎月先着10名様限定!
ホワイトニングジェル1本サービス」