キャッシュレス決済OK!
\あの看板で有名な【和光市歯医者】/
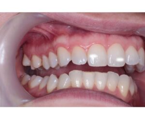
圧倒的に費用を抑えた審美治療
features 当院の特徴
-
丁寧でわかりやすい
常に“わかりやすい言葉”でご説明しながら患者様のお悩みを一緒に解決していきます。
カウンセリング -
「痛くない!」と
常に患者様の心に寄り添いながら“優しく”治療を開始します。
評判の優しい治療
(女性歯科医師も在籍) -
10年、20年先を
その場しのぎの対症療法だけではなくリスク分析に基づく“原因療法”を目指しています。
見据えた治療計画
-
セラミックの特性を生かした “納得の仕上がり”を目指す審美治療 ceramic
セラミック材質は、劣化が少なく、自然な仕上がりを長期間にわたって保つことができます。前歯は薄くても強度が必要であり、奥歯は一番負担がかかる場所。ただ、見た目もしっかり納得がいくものを選びたい。そんなご希望にお応えできるラインナップをご用意し、経験豊富なセラミック担当医が施術を行います。
-
国際口腔インプラント学会認定医が
診断を行う “安心・安全”のインプラント治療 implant歯周病や虫歯、外傷など、歯を失ってしまう原因は様々あります。歯を失った場合、そのままにしておくと、食事や会話などの楽しみが半減してしまいます。また、隣の歯が倒れ込んでしまうため、噛み合わせが悪くなり、全身のバランスを崩してしまう場合もあります。当院では国際口腔インプラント学会認定医監修の下、見た目も咬む力も天然歯とほとんど変わらないインプラント治療をご提供しております。
-
透明で目立ちにくい、
取り外しのできるマウスピース矯正 インビザラインによる矯正治療 invisalign歯並びを治す方法として、マウスピース矯正という選択肢があります。この場合、パソコン上で歯並びが治っていく様子を事前にシュミレーションし、治療期間も簡単に予測することができます。見た目がネックでワイヤー矯正を諦めてしまった方、他院でワイヤー治療しか勧められなかった方も、是非当院の歯並び相談へいらしてください。目立たないマウスピース矯正を当院で体験してください。
-
口元を審美的にケア ホワイトニング・デンタルエステ Whitening・dentaleste
当院は、ポリリンホワイトニングを導入しているホワイトニング認定施設です。ポリリン酸は人体にもともと存在する無害で安全な物質であり、近年ホワイトニングにおいても注目されています。ポリリンホワイトニングは、他院の通常のホワイトニングより”しみない・大きな効果・長持ち” というのが主な特徴です。また、加齢とともに低下する口元周りの軟組織や筋肉に対して改善することができるようなデンタルエステもご提案いたします。
(注)歯ぎしり緩和治療、ヒアルロン酸注射は審美目的ではなく、その他の歯科治療を進める上での必要性が十分認められる場合に限った治療となります。 -
“自動精算機システム”完備
自動精算機と受付ロボットを導入し、大幅な“待ち時間の削減”を実現。
診療が終わったらサッと決済を行い、帰宅することができます。
※2023年ワールドデンタルショーにて当院の受付無人システムについて院長が講演を行なっております。当院のIT化への取り組みは歯科業界で大変注目をされています。 -
“キャッシュレス決済”完備
保険診療からクレジットカードがご利用いただけます。
歯科では保険治療が現金のところもまだまだ多いですが、
和光市では当院が初めて導入を開始いたしました。
service 診療案内
trouble 本日はどうされましたか?
患者さまのさまざまなお悩みに合わせて、適した治療方法をご紹介しています。
question よくあるご質問
ここは虫歯の治療もしてくれますか?インプラント・矯正だけですか?
当院は“1本の虫歯からインプラント・矯正治療まで全て対応”できる「総合歯科ステーション」です。
通常の保険診療から丁寧に行っておりますので、例えば、虫歯治療、歯周病治療、親知らずの抜歯、顎関節症治療などもご対応できます。
※初診時の際は、マイナンバーカードもしくは保険証をお持ちください。
※当院のほとんどの患者様が保険診療を受診されておりますのでご安心ください。
※インプラント・矯正は「無料相談」を受けることができます。特に他院のお見積書をご提示いただければ、参考程度ですが当院のお見積書も即時作成可能です。
親知らずを抜きたいのですが初診で抜いてくれますか?
当日のご予約状況と抜歯部位によっては、初診時でも抜歯可能でございます。ただ、多くの歯科医院において初診時の抜歯のお約束は基本的に難しいと思います。
なぜなら、過去ご来院がない方はレントゲン情報、服薬情報もないため、親知らずの抜歯の難易度・リスク・副作用も事前予測が不可能であるためです。 特に下顎(下アゴ)の親知らずの抜歯は神経や動静脈との位置関係の事前予測が重要のため、初診時の抜歯は基本的にお断りしております。
また平日の夜、土日祝などご予約が混み合う時間帯では、所要時間が1時間以上の抜歯に関しては当院と提携する口腔外科病院へご紹介させていただくことがございます。
他院で抜歯を勧められています。本当にこの歯は抜かないとダメですか?
お口の中を拝見させていただかないとご回答が難しいですが、重度の歯周病で大きく揺れてしまっている歯は基本的に保存は厳しいかと思います。周囲の骨が多く失われてしまうと、抜歯後の歯をつくる治療(インプラント・ブリッジ・入れ歯)の難易度と治療費が増大してしまう可能性もありますから、早期の決断が必要です。ただ根の先に膿が溜まる根の病気(根尖性歯周炎)でしたら、まだ抜歯を回避できる可能性があります。当院は根管治療専門医院と医療連携を密に行っている医院であり、他院では絶対に残せないと断られてしまった場合のセカンドオピニオン先として多くの患者様から選ばれております。諦めずにまずはご相談ください。
歯ぎしり用のマウスピースは作ることができますか?
“歯ぎしり・食いしばり・顎関節症対策”のマウスピース製作は保険診療からご案内できます。保険診療としてのマウスピースは“歯、歯周組織、口腔周囲筋、顎関節の咬合圧負担を軽減”することが目的となります。ご希望に応じてハードタイプ(硬いもの)・ソフトタイプ(柔らかいもの)と選択でき、納期は数日から2週間ほどで製作することが可能です。
※“睡眠時無呼吸症候群対策”のマウスピース製作は当院と提携する口腔外科病院へご紹介(保険診療)となります。
※「顎関節症・噛み合わせ異常」における顎関節の位置異常を是正するPGI式スプリント製作は自費(自由)診療でのご案内です。
セラミック治療が得意な先生はいますか?
はい、在籍しております。また当法人グループは歯科技工所をグループ内に所有しており、和光市駅前の歯科医院の中でも、“高品質”かつ“適正価格”で常に安定して提供することが“当院の強み”です。
当院の歯科医師は、セラミック症例を含め、審美治療の経験が豊富であり、他の歯科医院で仕上がりに納得できなかった治療の相談も丁寧に対応しております。諦めずにまずはお気軽にご相談ください。
※ “割れ、欠け”に関するトラブルにも安心な保証期間もございます。
※セラミック、ジルコニアなどの審美分野では、セラミック分野に強い院長をご指名していただければ幸いです。
インプラント治療は痛くないですか?
局所麻酔、伝達麻酔もしくは静脈鎮静麻酔を適切に使用すれば、治療中の痛みはほとんど感じない方が多いです。
直後の腫れや痛みが2日ほどあっても抗生物質、痛み止めを服用すれば、お仕事にも支障なく日常生活を送ることができます。また、たまに内出血が頬に黄色く見えることがありますが、通常10-14日ほどで消えていくことがほとんどです。ただ、人工骨を補うような治療を併用した場合は、通常よりも術後の腫れが大きくなリますので、あらかじめ治療のタイミングをしっかりご相談するようにしております。全てにおいてインプラント治療に精通したスタッフが丁寧にご対応しますのでご安心ください。
インプラント治療を行う専用オペ室はありますか?感染などが怖くて・・・
完全個室のインプラント治療を行う専用ルームがございます。また、当院は感染対策及び医療安全対策に関する多くの施設基準をクリアした医院のため、全ての治療用器具をしっかり滅菌していることはもちろん、インプラントに関する製品は新品未開封のものを使用する直前に初めて開封いたします。また、もし新品の中に不適合とされるインプラントがあれば、メーカーへ直ちに返却し、無償で新品のインプラントに交換してもらえるようにサポートが得られる環境も整えております。当グループのインプラント年間実績1000本はそういった安心の上で成り立った治療実績です。
マウスピース矯正は本当に歯並びが治ってきますか?
あくまで的確な診断結果と患者様のマウスピース着用方法に依存する治療方法ではありますが、もちろん治ります。
ただ、マウスピース矯正で動かせる歯の動きは限界があり、症例によってはワイヤーでの一部修正が必要になることがありますので、そこまでしっかりとアフターケアができる歯科医師を選択することが極めて重要です。また、インビザラインをはじめ、多くのマウスピース矯正ブランドがありますので、それらの特徴と料金プラン、そのリスクを前もって把握していくことも大事です。成増・和光市・朝霞において症例実績が豊富なダイヤモンドプロバイダーの当院へまずはご相談ください。
日本歯科矯正歯科学会の認定医が在籍されていますか?
当グループでは日本歯科矯正歯科学会の認定医を有する矯正専門医が在籍しておりますので、その監修と指導を受けた矯正医が安全に矯正治療を行なっております。また、昨今のデジタル技術の進歩によりマウスピース(アライナー)矯正の適応範囲が拡大しており、細かいワイヤーテクニックを使わずにほとんどの歯並びは改善が可能となっておりますが、時にワイヤーによる修正が必要となることもございます。そういった場合に患者様が治らなくて辛い思いをされないよう当院に在籍する全ての歯科医師はワイヤー矯正の技術も持ち合わせております。
ホワイトニングは白くなりますか?詰め物、かぶせものは白くなりますか?
当院の扱っているポリリンホワイトニングはおかげさまで多くの患者様からご好評いただいており、しみを最大限抑えながらも高いホワイトニング効果を期待できます。ただし、どのホワイトニングも人工物(つめもの・かぶせもの)は白くはならないため、先に歯を白くしてから、その色に合わせて、人工物を明るい色で作り直すことをお勧めしております。
※当院は和光市で最も早いタイミングからポリリンホワイトニングシステムを導入し、「ポリリンホワイトニングシステム認定施設」に指定されております。
※ホワイトニングの専門スタッフが丁寧にカウンセリングからご対応いたします。
初診の治療費はいくらかかりますか?
初診時では、保険診療では3000-5000円前後(窓口負担金3割の方の場合)、自費(自由)診療では3000円-10000円程度と思います。
※マイナンバーカード(保険証)をお忘れの方は、当日は「10割負担」となります。おおよそ10000円ほどの負担になるかと思います。
※当院は比較的高額な窓口負担金、その他のお支払いが発生する場合は事前にスタッフが概算の金額をお伝えするよう努めております。しかしながら、お口の状況は患者様ごとに異なるため、当院を受診されたことがない方の治療費を事前に予測し、正確な治療費をお伝えすることは非常に難しいという点だけ事前にご理解いただければ幸いです。
クレジットカードは使えますか?保険診療だと現金決済の歯科医院が多くて・・・
当院はキャッシュレス決済を開業時から早期導入をしております。当院の自動精算機では、保険治療の窓口負担金、自費(自由)治療のお支払いにおいてクレジットカード(VISA,MASTER)のお支払いが可能です。もちろん加盟店手数料は当院で全て負担いたしますので、クレジットカード決済だとしても患者様のお会計額が増えてしまうようなことも一切ございませんのでご安心ください。また、自費(自由)治療では、“スマホで審査が簡単にできるデンタルローン”や、“毎月の定額支払いができるサブスクプラン”もご案内が可能です。
担当は毎回変わってしまいますか?また、担当が自分と合わない時は変更できますか?
当院は「完全担当医制/担当衛生士制」のため、各患者様ごとに担当医/担当衛生士は“初診時の担当者”を登録させていただきます。
また、事前にご予約の際ご指名いただければ、担当医/担当衛生士の指名も可能です。ただ、曜日・時間帯・その他の理由で合わない場合は担当変更ももちろんできますので、変更希望の場合はHPのお問い合わせフォームよりメッセージをいただければ担当部署が迅速にご対応いたします。
※女性歯科医師も在籍しております。※院内でのセカンドオピニオンも可能ですので、そういった際でもお気軽にご相談ください。
予約はしていないけど、今日は診てもらえますか?
お席に余裕があれば少しお待たせするかもしれませんがもちろん診察可能です。また診察チェアが埋まっていてもカウンセリングルームにて現在の悩んでいることをお聴きして今後の治療方針について丁寧に説明することにも力を入れておりますので、まずは当院に受診いただければ大変嬉しく思います。
ただ当院はあくまでも「完全予約制」の歯科医院のため、あまりにも他のご予約患者様にご迷惑がかかると予想される時間帯の場合はお断りさせていただきます。その場合は他の日時をご提案いたしますが、スムーズな受診のためにはやはりご予約をいただく方がよろしいかと思います。
予約は取りやすいですか?他の歯科医院では次の予約が1ヶ月後と言われてしまい・・・
平日の18-20時、土日祝は予約が埋まりやすい傾向ですが、当院は1-2週間以内には予約が取得できることが多いです。他院の歯科医院であまりにも予約が取りづらい場合は当院へ“転院”をご検討ください。 【公式HP】のWEB予約もしくはお電話、メールでお問い合わせください。
※一般的に、治療の間隔があけば治療成績は著しく悪化することが多いです。
※“なかなか予約が取れない歯医者=人気”ではございません。不明確な治療計画によりいつまで経っても一向に治療が終わらない患者様が溢れていたり、スタッフ不足により予約制限をせざるを得ない状況も理由になります。まずは当院へご相談ください。
電話が繋がらない時はどうしたらいいでしょうか?
大変申し訳ございませんが、現在、当院スタッフの働き方改革として、「他の患者様のご対応中」、「休憩時間」及び「診療時間外」においては、お電話対応を一切ご対応しておりません。ゆくゆくはAI自動応答サービスなどの導入を想定しておりますが、各メーカーのシステムを比較検討している状況です。現状はお電話が繋がらない場合は、HPのお問い合わせのメールフォームからご用件をお伝えください。当院の担当部署が順番にご対応いたします。また、お電話以外にもweb予約、診察券アプリ予約などをご活用していただければ幸いです。
小さなこどもがいるのですが、大丈夫でしょうか?
当院は、お子様が急に泣いてしまっても気になさらないように“完全個室の診療チェア”がございますのでご安心ください。ただ、落ち着きのないお子様、保護者の方から勝手に離れてしまうようなお子様は、他の患者様の診療チェアへ行ってしまったり、医療機器・材料に触れてしまったり、と医療施設内での危険が伴いますので、当院のスタッフの判断で受診をお断りさせていただくことがございます。あらかじめご了承ください。
※ベビーカーの場合や個室希望の方は、ご予約の際にその旨をスタッフへ必ずお伝えください。お席の空き状況をご確認いたします。
※ご家族、ご兄弟のための椅子も2つほどございます。
身体障害者の方、日本語が困難な方は受診可能でしょうか?
エキアプレミエ和光は“全館バリアフリー”設計ですので、全テナントにおいて車椅子の乗り入れは可能です。また、通訳の方をお連れでない場合は、言語翻訳アプリを使用して、当院の日本人スタッフが対応させていただきます。しかしながら、上記の対応でも意思疎通が困難な方に対しては医療行為を行うことはトラブルや事故の原因になりかねないため、その場合はお断りさせていただき、転院をご相談させていただきます。あらかじめご了承ください。※車椅子の場合は、ご予約の際にその旨をスタッフへ必ずお伝えください。お席の空き状況をご確認いたします。
駐車場、駐輪場はありますか?
エキアプレミエ内には専用駐車場、駐輪場があり、それらは建物の西側に位置しております。お車の場合は、エキアプレミエ内の商業施設での一定額以上のご利用をされると駐車料金のお支払いに利用できるサービスチケットがもらえます。ただ、和光市駅前には多くの商業施設が多く存在し、患者様の中にはご家族がイトーヨーカドーやSEIYUなど近隣の商業施設を利用している間に当院に受診される方も多いようですし、駅チカにも市営の駐輪場がございます。エキアプレミエ以外の商業施設の駐車場、駐輪場などの情報も参考にされるとよろしいかと思います。
和光市デンタルオフィス院長の看板をよく見かけます。今後も「看板」は増えていくんですか?
和光市にお住まいの方、和光市駅を利用される方が急に歯のことで困ってしまった時に「和光市デンタルオフィス インプラント・矯正ステーション」をすぐに思い出してもらえるように、今後も効果の大きい場所には看板の掲出を検討していく予定です。院長が少し飽きてしまった看板は、たまにデザイン変更をしておりますのでそんなマイナーチェンジも楽しんでいただければと思います。和光市は今後の発展が期待される都市部へのアクセスも良い地域です。そんな和光市の風景の中で当院の看板がちょっとしたランドマークとなってくれれば嬉しいです。
greeting 院長ご挨拶
私は、大学卒業後、一般歯科・セラミック・骨造成を含めたインプラント・ワイヤー矯正・マウスピース矯正まで全て手がけておりますので、あらゆる視点から「患者様に合わせた治療計画」をご提案いたします。
また、10年以上の臨床経験に加え、歯科用CTや口腔内スキャナー、マイクロスコープなどを導入し、セカンドオピニオンにも幅広く対応いたします。
皆様のご予約をお待ちしております。


















































