
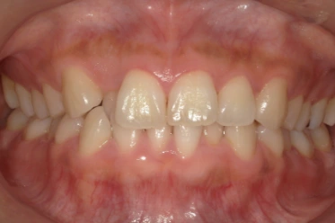
▲ 顔が小さい(骨格、つまりは顎が小さい)場合
SERVICE

当院の矯正無料相談では、
「A院では歯を抜かないとダメと言われて、B院では歯を抜かなくていいと言われた」
「他院でワイヤーじゃないと無理と言われた・・・マウスピースでも治せますか?」
「他院に相談したけど専門用語ばかり言われて結局よく分からなかった」
そういった患者様のお声をよくお聞きします。
当院はまず「なぜ現在歯並びが悪くなってしまっているのか」を正確に紐解いてご説明をします。それから、「どうやって治していくのがベストなのか」「費用と支払い方法はどの程度が適正なのか」というお話に移っていきます。
一生に一度の矯正治療と思いますので、“安心・安全に受けていただきたい”、そういった気持ちで日々、無料でカウンセリングを行なっております。
歯並びでお悩みの方は、お気軽にお問い合わせください。








▲ 顔が小さい(骨格、つまりは顎が小さい)場合

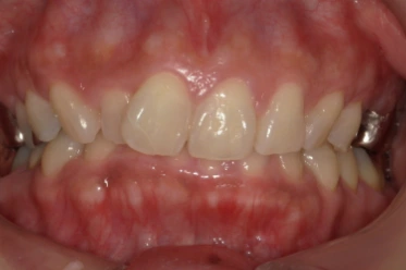
▲ 歯が大きい(平均値よりも大きい)場合

主に下記の方法で歯を並べるスペースを確保します。


| 治療方法 | アーチを側方に拡げることで円周を増やし、 スペースを確保します。 |
|---|---|
| 治療期間 | 3ヶ月 |
| 治療回数 | 3回 |
| 費用 | ¥130,000(税込¥143,000) |
| リスク・副作用 | 顎骨外への過剰拡大による歯肉退縮、歯の動揺 |


| 治療方法 | 0.5mm以内の範囲で歯の側面を削って、 スペースを確保します。 |
|---|---|
| 治療期間 | 4ヶ月 |
| 治療回数 | 3回 |
| 費用 | ¥200,000(税込¥250,000) |
| リスク・副作用 | 0.5mmを超える切削による知覚過敏の発生、 形態異常 |


| 治療方法 | 奥歯を少しずつ後ろに動かすことで スペースを確保しつつも、前歯を下げていきます。 (注)事前の親知らず抜歯が必須です。 |
|---|---|
| 治療期間 | 1年-1.5年 |
| 治療回数 | 4回 |
| 費用 | ¥400,000(税込¥440,000) |
| リスク・副作用 | 矯正力の反作用による前歯の唇側傾斜、歯肉退縮 |


| 治療方法 | 歯の数を減らすことでスペースを確保しつつ、 最終的な前歯の位置を大幅に下げることで 歯列及び顔貌突出感の改善をはかります。 |
|---|---|
| 治療期間 | 2年 |
| 治療回数 | 4回 |
| 費用 | ¥600,000(税込¥660,000) |
| リスク・副作用 | 歯肉退縮、歯の動揺、 リップサポート低下による審美障害 |


| 治療方法 | 正中口蓋縫合を離開させ、 顎骨の拡大を積極的に行います。 装置:小児期ではRPE(急速拡大装置)、 EXP(緩徐拡大装置)、成人期ではMSE (インプラントアンカー4本を併用した顎骨拡大装置) |
|---|---|
| 治療期間 | RPEでは2ヶ月、EXPでは6ヶ月-1年、RPE:1-1.5年 |
| 治療回数 | 1回/月 |
| 費用 | ¥120,000〜¥250,000(税込¥132,000〜¥275,000) |
| リスク・副作用 | 歯肉退縮、歯の動揺、器具装着による一時的な発音障害 |
患者さん一人ひとりに合った矯正治療のプランをご提案いたします。
お悩みやご要望をお気軽にご相談ください。

小児矯正の詳細はこちら

マウスピース矯正の詳細はこちら


「一部の隙間が気になる」、「ねじれている歯を治したい」場合は部分矯正がお勧めです。
歯並びの印象は、前歯で決まります。事実、部分矯正は前歯のお問い合わせが非常に多いです。年齢関係なく矯正はできますし、全体矯正に比べ、費用も期間も抑えることができます。ぜひこの機会に治してみてはいかがでしょうか。部分矯正で治るケースなのかどうかはご自身では判断が難しいと思いますので、まずはお気軽に無料相談へお越しください。
| 歯並びの相談 | ¥0 |
|---|
| 小児矯正 | ¥30,000 (税込¥33,000) |
|---|---|
| マウスピース矯正 | ¥50,000 (税込¥55,000) |
| ワイヤー矯正 | ¥30,000 (税込¥33,000) |
| 部分矯正 | ¥30,000 (税込¥33,000) |
| 小児矯正 | ¥50,000〜¥350,000 (税込¥55,000〜¥385,000) |
|
|---|---|---|
| マウスピース矯正 | インビザライン | ¥400,000〜¥900,000 (税込¥440,000〜¥990,000) |
| エンジェルアライナー | ¥350,000〜¥850,000 (税込¥385,000〜¥935,000) |
|
| DPEARL | ¥280,000〜¥630,000 (税込¥308,000〜¥693,000) |
|
| スマイルモア矯正 | ¥130,000〜¥350,000 (税込¥143,000〜¥385,000) |
|
| ワイヤー矯正 (表側) |
¥630,000〜¥830,000 (税込¥693,000〜¥913,000) |
|
| ハイブリッド矯正 |
マウスピース(上顎)×表側ワイヤー矯正(下顎) | ¥730,000〜¥830,000 (税込¥803,000〜¥913,000) |
| 部分矯正 | ¥250,000〜¥350,000 (税込¥275,000〜¥385,000) |
|
| 備考 |
|---|
| 当院は日本矯正歯科学会認定医監修の下、「比較的安価・適正価格」にて矯正治療を提供しています。
まずはお気軽に矯正無料相談へお越しください。 「地域最安値」を目指し、“より低価格”で“最適な治療方法”をご提案いたします。 ※公式LINEアカウント・SNSでさらにお得な情報・クーポンを定期的に配信しています! |
| 当法人は、「インビザラインブラックダイヤモンドプロバイダー(上位1%)」に認定されています。
年間400症例以上の実績数を誇るグループ内でも、当院の院長は中枢を担う矯正医として知られています。 |
| インビザラインの動的治療中にワイヤーでの一部修正が必要な場合はなんと“無料”で行います。 ※<他院とココが違う!>当院の歯科医師はワイヤー矯正ができ、マウスピース矯正の弱点もリカバリーできます! |
| 豊富な決済方法がございます。詳しくは、担当スタッフにご相談ください。 ※デンタルローン手数料は業界最安でのご案内ができます!例えば、月5000円程度の分割決済も可能です! |
| リスク・副作用 | 歯の移動による軽度な歯肉退縮、歯の動揺、器具装着による一時的な発音障害・審美障害、コンプライアンス不足による治療期間延長 |
|---|