
Case
和光市歯医者・矯正歯科|
和光市デンタルオフィス 症例集
icon治療
-
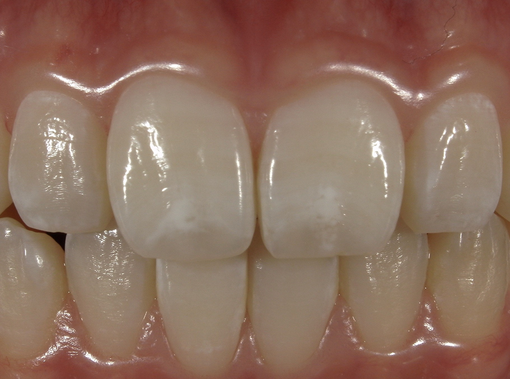
37歳 女性
歯の濁った茶色の部分と白い部分を目立たないようにしたい。主訴
歯の濁った茶色の部分と白い部分を目立たないようにしたい。
-
15歳 男性
歯の濁った茶色の部分と白い部分を目立たないようにしたい。主訴
歯の濁った茶色の部分と白い部分を目立たないようにしたい。
-
26歳 女性
白い部分が気になる。他の歯医者だと治せないと言われた。主訴
白い部分が気になる。他の歯医者だと治せないと言われた。
-
27歳 男性
白い部分がたくさんあるので治してほしい。主訴
白い部分がたくさんあるので治してほしい。
-
28歳 女性
前歯2本だけ白い部分を治してほしい。主訴
前歯2本だけ白い部分を治してほしい。
-
17歳 女性
左の前歯だけ白い部分があって消えない。主訴
左の前歯だけ白い部分があって消えない。















