
Case
和光市歯医者・矯正歯科|
和光市デンタルオフィス 症例集
iconの症例
-
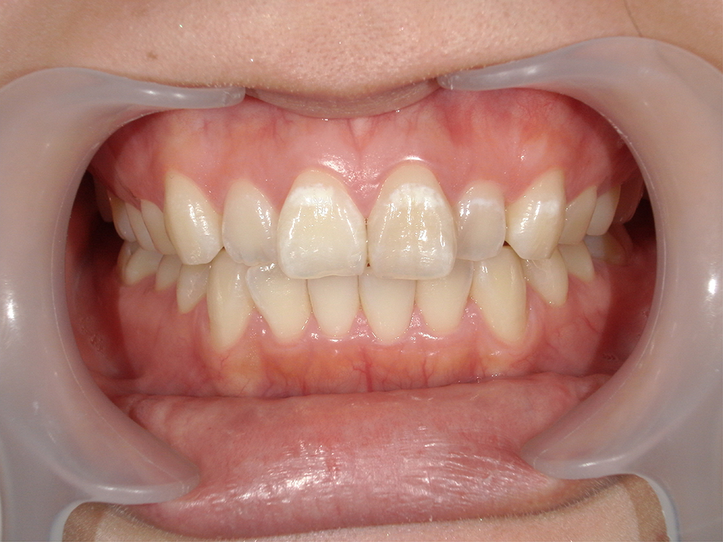
39歳 女性
前歯4本を一気に綺麗にしたい。歯は削りたくない。主訴
前歯4本を一気に綺麗にしたい。歯は削りたくない。
-
27歳 女性
左の前歯1本だけでいいので白い斑点を無くしたい。主訴
左の前歯1本だけでいいので白い斑点を無くしたい。
-
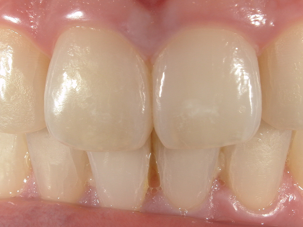
38歳 女性
前歯2本だけ白い斑点を無くしたい。他の歯はまたそのうちやりたい。主訴
前歯2本だけ白い斑点を無くしたい。他の歯はまたそのうちやりたい。
-
39歳 男性
左の前歯1本だけでいいので白い斑点を無くしたい。主訴
左の前歯1本だけでいいので白い斑点を無くしたい。
-
37歳 女性
歯の濁った茶色の部分と白い部分を目立たないようにしたい。主訴
歯の濁った茶色の部分と白い部分を目立たないようにしたい。
-
15歳 男性
歯の濁った茶色の部分と白い部分を目立たないようにしたい。主訴
歯の濁った茶色の部分と白い部分を目立たないようにしたい。











