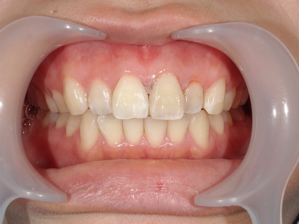
iconの症例
27歳 女性
左の前歯1本だけでいいので白い斑点を無くしたい。
- before

- after

主訴
左の前歯1本だけでいいので白い斑点を無くしたい。
治療内容
治療本数:3(11,21,22)
治療方法:icon
治療費
¥80000(税込88000) ※
※費用は、当時のキャンペーン適用もしくは提供価格を示します。
治療期間
回数:1回
期間:経過観察期間1ヶ月
リスク・副作用
副作用およびリスク:不完全なラバーダムによるアイコンエッチ(15%塩酸)による歯肉損傷、歯肉退縮、知覚過敏等
No.3388