
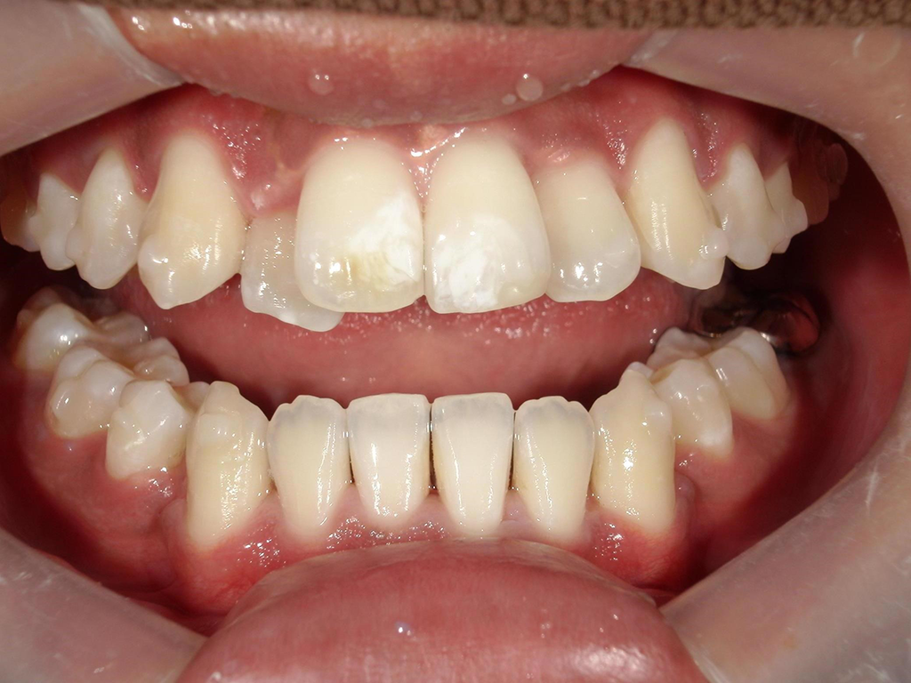
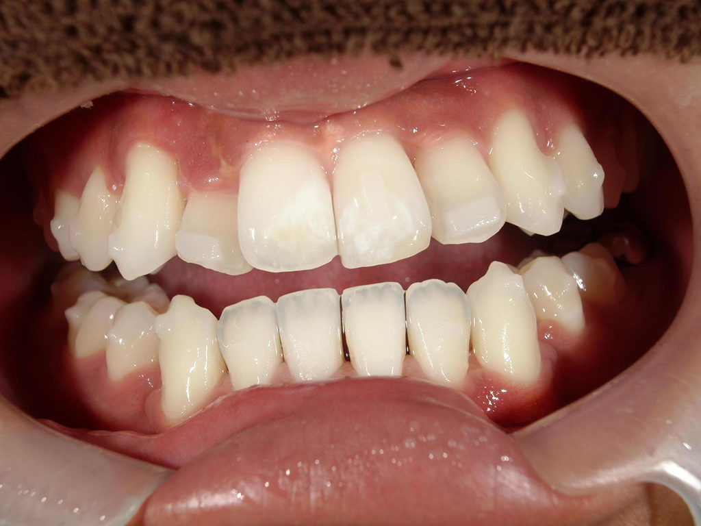
iconの症例
24歳 男性
前歯2本がコンプレックスで治したい。他院では断られた。
- before

- after

治療経過中の写真
主訴
前歯2本がコンプレックスで治したい。他院では断られた。
治療内容
治療本数:2(11,21)
治療方法:icon
治療方法:icon
治療費
¥51000(税込56100) ※
※費用は、当時のキャンペーン適用もしくは提供価格を示します。
※費用は、当時のキャンペーン適用もしくは提供価格を示します。
治療期間
回数:1回
期間:経過観察期間1ヶ月
期間:経過観察期間1ヶ月
リスク・副作用
副作用およびリスク:不完全なラバーダムによるアイコンエッチ(15%塩酸)による歯肉損傷、歯肉退縮、知覚過敏等
No.7166









