和光市駅ナカの和光市歯医者•矯正歯科|和光市デンタルオフィス
東武東上線 東京メトロ有楽町線 副都心線
「和光市駅」
"駅直結" "駅ナカ" "徒歩0分"
エキアプレミエ和光3F
ホーム
医院案内
アクセス
お問い合わせ
よくあるご質問
施設基準届出の掲示
感染防止•医療安全対策
診療案内
歯科(虫歯・歯周病)
小児歯科
矯正歯科
口腔外科(親知らず抜歯)
顎関節症・噛み合わせ異常
マイクロエンド(神経治療・根管治療)
セラミック
インプラント
インプラント特集ページ
⼊れ⻭(部分⼊れ⻭・総⼊れ⻭)
小児矯正
マウスピース矯正
ハイブリッド矯正特集ページ
ホワイトニング・アイコン
ホワイトスポット治療特集ページ
デンタルエステ
症例紹介
インプラントの症例
矯正歯科の症例
セラミック治療の症例
icon治療の症例
コラム・ブログ
虫歯 (56)
歯周病 (40)
小児歯科 (17)
矯正歯科 (31)
口腔外科 (12)
親知らず (5)
顎関節症 (9)
噛み合わせ異常 (20)
マイクロエンド (5)
セラミック (28)
インプラント (19)
小児矯正 (19)
マウスピース矯正 (40)
ワイヤー矯正 (30)
部分矯正 (22)
ホワイトニング (36)
デンタルエステ (46)
デンタルIQ (127)
スタッフブログ (122)
院内紹介
スタッフ紹介
採用情報
募集要項
歯科衛生士の働き方
当院の著作権
インプラントの症例
矯正歯科の症例
セラミックの症例
iconの症例
iconの症例
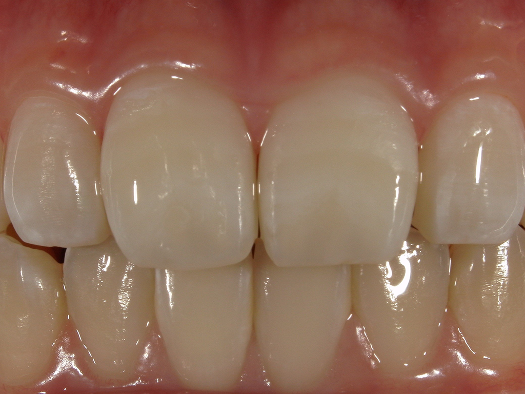
22歳 女性
前歯2本だけ治したい。
before
after
主訴
前歯2本だけ治したい。
治療内容
治療本数:2(11,21)
治療方法:icon
治療費
¥49000(税込53900) ※
※費用は、当時のキャンペーン適用もしくは提供価格を示します。
治療期間
回数:1回
期間:経過観察期間1ヶ月
リスク・副作用
副作用およびリスク:不完全なラバーダムによるアイコンエッチ(15%塩酸)による歯肉損傷、歯肉退縮、知覚過敏等
No.5756
iconの症例の症例一覧に戻る