和光市歯医者・矯正歯科|和光市デンタルオフィス
コラム・ブログ
COLUMN・BLOG
サイナスリフト症例①-骨がなくてもインプラント可能-
今回ご紹介する症例は
上顎(上アゴ)に骨が少なくなってしまい、
インプラントが入れられない場合に行う骨造成技術「サイナスリフト」です。
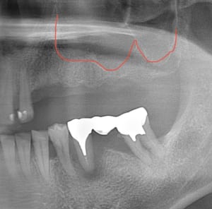
通常インプラントは
最低でも8mmほどの長さを入れたいのですが
骨が少なく、鼻腔にインプラントが飛び出てしまう場合は
“鼻腔の空間に人工骨を補い”、
インプラントが入れられるスペースを確保します。

↑赤字の上の空間はもう鼻腔になってしまうのでここにインプラントを入れることはできません。
そこで
鼻腔のシュナイダー膜を挙上した上で
顎骨の側面から人工骨を補う必要が出てきます。


これでインプラントの長さ10mm近くのインプラントも余裕で入れる骨の高さが確保できました。
当初は6番目の部分だけ骨造成する予定でしたが
想定よりもシュナイダー膜の挙上ができたため、4番目ー7番目付近まで人工骨を補っておきました。
ここまで広範囲に骨が再生できると
今後の治療設計も理想的なプランがご提案できます。
このサイナスリフト治療を受けた場合は、
4-6ヶ月ほど待機してしっかり骨が落ち着いてきたら
インプラントのネジを入れていくようにします。
この骨造成〜インプラント完成まで
トータルの治療期間は約1年近く
となりますが、
ちゃんと適切な治療を受ければ
他で断られたインプラントも当院では可能となります。
実はこの患者さんはすでに右側にこのサイナスリフトを受けており、
無事インプラントがすでに入っている部分があります。

青色の部分に骨があるからこそ、
インプラントが無事に入れられるということが理解しやすいかもしれませんね。
「あなたは骨がないからインプラントはできません。」
と言われてしまった方は、ぜひ当院へ一度ご相談ください。
諦めて入れ歯を選択するのはまだ早いかもしれません。
[情報]
患者:E.S様
主訴:インプラントをしたい
方法:静脈鎮静下にて局所麻酔の上、骨開窓。その上で、シュナイダー膜を挙上し、バイオスおよびアローボーンを填入。
通院回数:5-6回程度
治療期間:4-6ヶ月
費用:
インプラント相談 0円
インプラント検査・診断料 11000円(税込)
サイナスリフト 通常11-22万円(税込) *インプラントの契約内容により割引がございます
静脈鎮静 88000円(税込) *麻酔専門医出張費用込み
副作用とリスク:
可能性は著しく低いですが
基本的な外科処置に付随する
・治療時の局所麻酔中毒
・神経または動静脈の障害
・治療直後の腫れ/痛み
・骨補填材およびインプラントによる上顎洞炎の発生
カテゴリ
- 虫歯 (60)
- 歯周病 (44)
- 小児歯科 (17)
- 矯正歯科 (31)
- 口腔外科 (12)
- 親知らず (7)
- 顎関節症 (9)
- 噛み合わせ異常 (21)
- マイクロエンド (5)
- セラミック (28)
- インプラント (19)
- 小児矯正 (19)
- マウスピース矯正 (40)
- ワイヤー矯正 (30)
- 部分矯正 (22)
- ホワイトニング (36)
- デンタルエステ (46)
- デンタルIQ (129)
- スタッフブログ (124)
アーカイブ
- 2026年5月 (2)
- 2026年4月 (4)
- 2026年3月 (6)
- 2026年2月 (4)
- 2026年1月 (4)
- 2025年12月 (4)
- 2025年11月 (5)
- 2025年10月 (4)
- 2025年9月 (4)
- 2025年8月 (5)
- 2025年7月 (4)
- 2025年6月 (5)
- 2025年5月 (4)
- 2025年4月 (4)
- 2025年3月 (5)
- 2025年2月 (4)
- 2025年1月 (4)
- 2024年12月 (4)
- 2024年11月 (5)
- 2024年10月 (4)
- 2024年9月 (4)
- 2024年8月 (5)
- 2024年7月 (4)
- 2024年6月 (5)
- 2024年5月 (4)
- 2024年4月 (4)
- 2024年3月 (5)
- 2024年2月 (4)
- 2024年1月 (4)
- 2023年12月 (6)
- 2023年11月 (2)
- 2023年10月 (6)
- 2023年9月 (3)
- 2023年8月 (5)
- 2023年7月 (4)
- 2023年6月 (4)
- 2023年5月 (5)
- 2023年4月 (3)
- 2023年3月 (3)
- 2023年2月 (4)
- 2023年1月 (4)
- 2022年12月 (3)
- 2022年11月 (2)
- 2022年10月 (1)
- 2022年9月 (1)
- 2022年8月 (6)
- 2022年7月 (4)
- 2022年6月 (1)
- 2022年5月 (5)
- 2021年10月 (4)
- 2021年9月 (12)
- 2021年8月 (1)





