和光市歯医者・矯正歯科|和光市デンタルオフィス
コラム・ブログ
COLUMN・BLOG
レントゲン撮影の大事さ-良い歯医者さん選びのポイント-

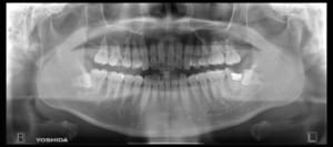
まず、このようなレントゲンを撮影したことはほとんどの方があると思いますが、
通称「パノラマ、パントモ」と言います。
口腔内を俯瞰的に確認するにはこれが最も優れたレントゲン写真になります。
実際これらをよく観察すると、
赤丸のところが虫歯になっています。

私たち歯科医師はこのパノラマでも
ある程度虫歯がある部分は確認できるのですが、やはり見落としもどうしても出てきてしまいます。
このぱでは、小さい病変パノラマこれははっきり写っていないからなんです。
そして、このパノラマだけでは
先生「はい、見てもらうとお分かりの通り、こことここが虫歯になってますね・・・」
と言われても、
患者さん「あ・・・はい。(え!?どこ・・・?)」
患者さん「そこにあるんですね。。(ぜんぜん私には見えないんだけどなあ)」
という反応が返ってきます。
そのため、
当院では、
奥歯の細かい小さな虫歯に関しては無料でこのようなアップのレントゲンを撮影しています。
通称「バイトウィング」と言います。
さて、こちらのレントゲンはかなり虫歯が見つけやすいのでここで問題を出しましょう♫
〜あなたは虫歯を全部見つけられるでしょうか???〜




どうでしょうか?
全問正解することはできましたでしょうか♫
定期検診を他の歯科医院で行かれていた方が
当院にセカンドオピニオンでいらっしゃると
このような虫歯が見過ごされてしまっているケースがございます。
皆さんは口を揃えて
「ちゃんと検診に行ってそこの先生には虫歯ないって言われたんですけど・・・」
とおっしゃるので
「検診でレントゲンなどもたまに撮ってもらっていましたか?」と質問すると
「撮ってもらっていないです。口の中診てもらうだけでした。」と返答が返ってきます。
レントゲン診査というものは、
私たち歯科医師の誤診を防ぐことにも役立ちますし、
早期発見・早期治療にもつながります。
X線の被曝量は飛行機に乗った際の線量程度などと例えられるように
過敏に反応するほどの悪影響はありませんし、
何よりレントゲン診査で得られるメリットの方が大きいです。
しばらくレントゲンなんて撮ってもらっていないな・・・
と思った方はまず当院にご相談ください。
必要に応じてレントゲン診査も行って未然に病気の進行を防いでいきましょう。

カテゴリ
- 虫歯 (60)
- 歯周病 (44)
- 小児歯科 (17)
- 矯正歯科 (31)
- 口腔外科 (12)
- 親知らず (7)
- 顎関節症 (9)
- 噛み合わせ異常 (21)
- マイクロエンド (5)
- セラミック (28)
- インプラント (19)
- 小児矯正 (19)
- マウスピース矯正 (40)
- ワイヤー矯正 (30)
- 部分矯正 (22)
- ホワイトニング (36)
- デンタルエステ (46)
- デンタルIQ (129)
- スタッフブログ (124)
アーカイブ
- 2026年5月 (2)
- 2026年4月 (4)
- 2026年3月 (6)
- 2026年2月 (4)
- 2026年1月 (4)
- 2025年12月 (4)
- 2025年11月 (5)
- 2025年10月 (4)
- 2025年9月 (4)
- 2025年8月 (5)
- 2025年7月 (4)
- 2025年6月 (5)
- 2025年5月 (4)
- 2025年4月 (4)
- 2025年3月 (5)
- 2025年2月 (4)
- 2025年1月 (4)
- 2024年12月 (4)
- 2024年11月 (5)
- 2024年10月 (4)
- 2024年9月 (4)
- 2024年8月 (5)
- 2024年7月 (4)
- 2024年6月 (5)
- 2024年5月 (4)
- 2024年4月 (4)
- 2024年3月 (5)
- 2024年2月 (4)
- 2024年1月 (4)
- 2023年12月 (6)
- 2023年11月 (2)
- 2023年10月 (6)
- 2023年9月 (3)
- 2023年8月 (5)
- 2023年7月 (4)
- 2023年6月 (4)
- 2023年5月 (5)
- 2023年4月 (3)
- 2023年3月 (3)
- 2023年2月 (4)
- 2023年1月 (4)
- 2022年12月 (3)
- 2022年11月 (2)
- 2022年10月 (1)
- 2022年9月 (1)
- 2022年8月 (6)
- 2022年7月 (4)
- 2022年6月 (1)
- 2022年5月 (5)
- 2021年10月 (4)
- 2021年9月 (12)
- 2021年8月 (1)





