和光市歯医者・矯正歯科|和光市デンタルオフィス
コラム・ブログ
COLUMN・BLOG
抜けた部分を放置すると・・・
よく
“歯が飛び出てくる”とか、
“歯が伸びてくる”とか、
聞いたことがありませんか?
もしくは
言われたことがありませんか?
それを耳にしたとき
「そんなワケないでしょ。」
「インプラントを勧めたいからそう言ってるんでしょ」
と思ってしまう方もいるかもしれませんね。
そうなってしまっている写真とかレントゲンとか見せることなく
歯科医師がそういう発言だけをしているので
イマイチ信憑性に欠ける話に聴こえてしまいます。
ただ本当なんですよね、これ・・・。
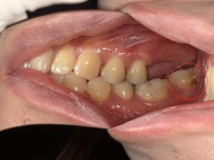
次の写真を見てください。
この方はかなり昔に左上を抜歯したことで
左下の歯が飛び出てしまっています。

歯列矯正は何歳でも可能であるように
何歳であっても歯は動きます。
そもそも歳を重ねることで
顎の骨も
歯茎も痩せていくので、
歯は絶えず動いて変化していくんです。
今、皆さんの歯が定位置で生えているのは
お隣りの歯があって
反対側の歯があって
成り立っています。
それらの歯がなくなれば
矯正治療をしなくても
勝手に
歯が動いていき、
噛み合わせは歪んでいきます。

いざ、こうなってしまうと、左上に歯が作れません。
左下の飛び出てしまった歯を治療しないことには不可能です。
つまり、
左下の歯の治療費がさらにかかってしまうんです。
当時すぐに左上に歯を作っておけば
こうなることは防げたかもしれません。
他院で歯を抜いてそのままにしてしまっている方、
インプラントも矯正治療も対応できる
和光市デンタルオフィスへ今すぐご相談ください。
インプラント無料相談、矯正の無料相談も実施中です。
カテゴリ
- 虫歯 (58)
- 歯周病 (42)
- 小児歯科 (17)
- 矯正歯科 (31)
- 口腔外科 (12)
- 親知らず (5)
- 顎関節症 (9)
- 噛み合わせ異常 (20)
- マイクロエンド (5)
- セラミック (28)
- インプラント (19)
- 小児矯正 (19)
- マウスピース矯正 (40)
- ワイヤー矯正 (30)
- 部分矯正 (22)
- ホワイトニング (36)
- デンタルエステ (46)
- デンタルIQ (129)
- スタッフブログ (124)
アーカイブ
- 2026年4月 (4)
- 2026年3月 (6)
- 2026年2月 (4)
- 2026年1月 (4)
- 2025年12月 (4)
- 2025年11月 (5)
- 2025年10月 (4)
- 2025年9月 (4)
- 2025年8月 (5)
- 2025年7月 (4)
- 2025年6月 (5)
- 2025年5月 (4)
- 2025年4月 (4)
- 2025年3月 (5)
- 2025年2月 (4)
- 2025年1月 (4)
- 2024年12月 (4)
- 2024年11月 (5)
- 2024年10月 (4)
- 2024年9月 (4)
- 2024年8月 (5)
- 2024年7月 (4)
- 2024年6月 (5)
- 2024年5月 (4)
- 2024年4月 (4)
- 2024年3月 (5)
- 2024年2月 (4)
- 2024年1月 (4)
- 2023年12月 (6)
- 2023年11月 (2)
- 2023年10月 (6)
- 2023年9月 (3)
- 2023年8月 (5)
- 2023年7月 (4)
- 2023年6月 (4)
- 2023年5月 (5)
- 2023年4月 (3)
- 2023年3月 (3)
- 2023年2月 (4)
- 2023年1月 (4)
- 2022年12月 (3)
- 2022年11月 (2)
- 2022年10月 (1)
- 2022年9月 (1)
- 2022年8月 (6)
- 2022年7月 (4)
- 2022年6月 (1)
- 2022年5月 (5)
- 2021年10月 (4)
- 2021年9月 (12)
- 2021年8月 (1)





