和光市歯医者・矯正歯科|和光市デンタルオフィス
コラム・ブログ
COLUMN・BLOG
インビザライン症例①-前歯のでこぼこ


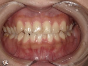
初診時の口腔内写真と正面からの写真です。
前歯の凸凹があり、前歯のかみ合わせが気になるという方です。
犬歯(糸切り歯)が牙のように上の方に生えているのもできたら治したいとおっしゃっていました。
当院でマウスピース矯正をスタートして約5ヶ月ほどで




マウスピースをはめた上からできる限りゴムかけもしてもらうようにお願いしました。
こうすることで歯がさらにスムーズに動いてきます。



歯を抜くことなく、そして削ることもなく、
綺麗に治ってくることがお分かりいただけたかと思います。
ただこのケースでは
しっかりと治療後もマウスピースを1-2年ほど保定期間を長めに装着していただいた方がよろしいかと思います。
非抜歯で治しているということは
ここまで動くまでのハードルが低いため矯正しやすいですが
その分、後戻りのリスクが高くなります。
(後戻りとは、歯が元の位置に戻ってしまうことを言います。)
[情報]
患者:C.T様
主訴:他院でマウスピース矯正勧められたが、こっちの方が安かったので相談したい
方法: 非抜歯 IPR(歯の側面削る)無 歯列拡大を設計したマウスピース(インビザライン )を1日22時間以上、口腔内へ装着を行う 必要に応じてゴム掛けも行う
通院回数:6回程度(2ヶ月に1回)
治療(動的)期間:6ヶ月
治療(静的)期間:1-2年
費用:
相談(0円)
検査・診断(55000円)
当院のスタンダードコース(モニター割適応で税込60万5000円)
保定装置(0円/2年間)
副作用とリスク:
設計通りに歯が動いてこない場合は追加でマウスピースを発注する可能性があり、その場合、治療期間の延長があります。
あとは
動的治療では、歯肉退縮・歯根吸収・歯髄失活など
静的治療では、後戻りのリスクなど
がございます。
(歯科用語の解説)
*動的治療とは、歯を積極的に動かしていく治療を意味します。
*静的治療とは、歯をそのままの位置で保つ治療を意味します。保定とも言います。
カテゴリ
- 虫歯 (59)
- 歯周病 (43)
- 小児歯科 (17)
- 矯正歯科 (31)
- 口腔外科 (12)
- 親知らず (6)
- 顎関節症 (9)
- 噛み合わせ異常 (21)
- マイクロエンド (5)
- セラミック (28)
- インプラント (19)
- 小児矯正 (19)
- マウスピース矯正 (40)
- ワイヤー矯正 (30)
- 部分矯正 (22)
- ホワイトニング (36)
- デンタルエステ (46)
- デンタルIQ (129)
- スタッフブログ (124)
アーカイブ
- 2026年5月 (1)
- 2026年4月 (4)
- 2026年3月 (6)
- 2026年2月 (4)
- 2026年1月 (4)
- 2025年12月 (4)
- 2025年11月 (5)
- 2025年10月 (4)
- 2025年9月 (4)
- 2025年8月 (5)
- 2025年7月 (4)
- 2025年6月 (5)
- 2025年5月 (4)
- 2025年4月 (4)
- 2025年3月 (5)
- 2025年2月 (4)
- 2025年1月 (4)
- 2024年12月 (4)
- 2024年11月 (5)
- 2024年10月 (4)
- 2024年9月 (4)
- 2024年8月 (5)
- 2024年7月 (4)
- 2024年6月 (5)
- 2024年5月 (4)
- 2024年4月 (4)
- 2024年3月 (5)
- 2024年2月 (4)
- 2024年1月 (4)
- 2023年12月 (6)
- 2023年11月 (2)
- 2023年10月 (6)
- 2023年9月 (3)
- 2023年8月 (5)
- 2023年7月 (4)
- 2023年6月 (4)
- 2023年5月 (5)
- 2023年4月 (3)
- 2023年3月 (3)
- 2023年2月 (4)
- 2023年1月 (4)
- 2022年12月 (3)
- 2022年11月 (2)
- 2022年10月 (1)
- 2022年9月 (1)
- 2022年8月 (6)
- 2022年7月 (4)
- 2022年6月 (1)
- 2022年5月 (5)
- 2021年10月 (4)
- 2021年9月 (12)
- 2021年8月 (1)





