和光市歯医者・矯正歯科|和光市デンタルオフィス
コラム・ブログ
COLUMN・BLOG
icon症例⑥-前歯の審美歯科-


.
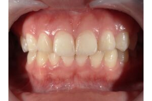
今回はこのケースです。
これくらいのものであれば、通常のホワイトスポットの部類のため、
“削らずに”、ホワイトスポット専用のアイコン治療を行えば、
簡単に改善することができます。

たったの1回の治療でここまで綺麗になるのはすごいですよね!
ただ、乾燥状態で見ると、、、

薬剤の影響で、治療直後は白帯(白い帯状のレースがかった模様)が確認できます。
ただ、ご安心ください。
こういったものに関しては
約1ヶ月ほどで落ち着いていきます。
その後の1ヶ月後の写真を見てみましょう!

乾燥状態の白帯は焼失しています。


濡れた歯面でもとっても綺麗です。
この自然な仕上がりこそが
当院の多数症例実績を持つホワイトスポット治療です。
和光市で「審美歯科」をお探しの方は
迷わず当院へご相談ください!
※和光市デンタルオフィスは「総合歯科ステーション」のため、インプラント・矯正だけではなく、全ての歯のお悩みに対してカバーしております。
[情報]
患者:K.S様
主訴:2本の白いまだら模様が気になる
方法:Iconのみの使用(切削なし)で修復。
通院回数:2回程度(1回目は初診時カウンセリング+2回目はIcon治療)
治療期間:予約状況にもよる(1回目は初診時カウンセリング+2回目はIcon治療)
費用:66000円(税込)/2歯
*通常は44000円(税込)/1歯 2歯目以降は、+22000円(税込)/1歯
副作用とリスク:
Iconは浸透性プラスチックのため、ホワイトニング後に行う必要があります。
ホワイトニング前に行ってしまうとIcon成分がホワイトニングの薬剤の効果を減弱させてしまいます。
(ただし、ホワイトニングができなくなってしまうことではありませんのでご安心ください。)
カテゴリ
- 虫歯 (59)
- 歯周病 (43)
- 小児歯科 (17)
- 矯正歯科 (31)
- 口腔外科 (12)
- 親知らず (6)
- 顎関節症 (9)
- 噛み合わせ異常 (21)
- マイクロエンド (5)
- セラミック (28)
- インプラント (19)
- 小児矯正 (19)
- マウスピース矯正 (40)
- ワイヤー矯正 (30)
- 部分矯正 (22)
- ホワイトニング (36)
- デンタルエステ (46)
- デンタルIQ (129)
- スタッフブログ (124)
アーカイブ
- 2026年5月 (1)
- 2026年4月 (4)
- 2026年3月 (6)
- 2026年2月 (4)
- 2026年1月 (4)
- 2025年12月 (4)
- 2025年11月 (5)
- 2025年10月 (4)
- 2025年9月 (4)
- 2025年8月 (5)
- 2025年7月 (4)
- 2025年6月 (5)
- 2025年5月 (4)
- 2025年4月 (4)
- 2025年3月 (5)
- 2025年2月 (4)
- 2025年1月 (4)
- 2024年12月 (4)
- 2024年11月 (5)
- 2024年10月 (4)
- 2024年9月 (4)
- 2024年8月 (5)
- 2024年7月 (4)
- 2024年6月 (5)
- 2024年5月 (4)
- 2024年4月 (4)
- 2024年3月 (5)
- 2024年2月 (4)
- 2024年1月 (4)
- 2023年12月 (6)
- 2023年11月 (2)
- 2023年10月 (6)
- 2023年9月 (3)
- 2023年8月 (5)
- 2023年7月 (4)
- 2023年6月 (4)
- 2023年5月 (5)
- 2023年4月 (3)
- 2023年3月 (3)
- 2023年2月 (4)
- 2023年1月 (4)
- 2022年12月 (3)
- 2022年11月 (2)
- 2022年10月 (1)
- 2022年9月 (1)
- 2022年8月 (6)
- 2022年7月 (4)
- 2022年6月 (1)
- 2022年5月 (5)
- 2021年10月 (4)
- 2021年9月 (12)
- 2021年8月 (1)





