和光市歯医者・矯正歯科|和光市デンタルオフィス
コラム・ブログ
COLUMN・BLOG
歯石取りはどのくらいの頻度で行った方が良い?どうして歯石取りが必須なのかなど疑問を徹底解説!
歯垢(プラーク)は、口内にたまる汚れの一種で、無数の細菌を含み、虫歯や歯周病の原因となります。歯垢が2~3日ぐらい同じ場所に停滞すると歯石(しせき)になります。特に歯の間にたまりやすく、たまった歯石は放置すると歯周病のリスクが高まりますので、適切な取り方と頻度が重要です。ここでは、歯の間についた歯石の取り方やおすすめの頻度など、様々な疑問について解説していきます。
どうして歯の間に歯石ができるのか

歯の歯石(しせき)は、口腔内で細菌性のプラーク(歯垢)が長期間蓄積されて硬化したものです。主に以下のようなプロセスによって形成されます。
1,歯垢の形成
食べ物の摂取や飲み物の摂取によって、口腔内には細菌や唾液などが混ざって「歯垢」と呼ばれる粘膜状の物質が形成されます。これは歯の表面に付着しやすく、特に歯と歯ぐきの境目や歯の隙間などにたまりやすいです。
2,プラーク中の細菌
歯垢には数千種類の細菌が含まれています。これらの細菌は糖分をエネルギー源として利用して成長し、その過程で酸を産生します。
3,酸のによる歯の溶解
歯垢中の細菌が産生する酸によって、歯のエナメル質(硬い表面)が溶解されます。この現象を「脱灰」と呼びます。
4,カルシウムの沈着
唾液中にはカルシウムなどのミネラルが含まれています。脱灰によって溶解したエナメル質の表面にこれらのミネラルが沈着し、徐々に硬化していきます。
5,歯の歯石の形成
長期間にわたって歯垢が細菌によってエナメル質の溶解とミネラルの沈着が繰り返されると、硬化した歯石が形成されます。歯石は歯垢よりも硬く、定着しやすいです。
どうして歯の間に歯石が溜まるのか

1,歯磨きの不十分
歯垢は、正しい歯磨きやとくにフロスなどの歯間清掃を行わないと、効果的に取り除くことができません。特に、歯と歯茎の境目や歯の間など、歯ブラシが届きにくい部分に歯垢が残りやすくなります。磨き残してしまった歯垢は前述のとおり固まって歯石となり歯ブラシでは除去できなくなってしまいます。
2,個人の口腔内の状態
個人の唾液の量や質、口腔内の形状などの遺伝的要因も、歯石が溜まる傾向に影響を与える可能性があります。
歯の間の歯石を放置するとどうなるのか

1,歯周病になりやすくなる
歯石を無視する最も深刻なリスクは、歯周病の発症です。歯の間や歯と歯茎の接合部、歯周ポケット内に歯石が蓄積すると、そこが歯周病菌の巣窟となります。歯周病菌が繁殖し、歯茎に感染することで、歯周病が進行していきます。歯周病では、歯茎が腫れたり、歯を磨いた後に出血したりするなどの症状が現れることがあります。既に歯周病を発症している場合は、症状や病態が更に進行するおそれがあるため、注意が必要です。
2、虫歯になりやすくなる
歯石は、虫歯の原因となる細菌の温床となります。歯石を放置すると、その上にさらに歯垢(プラーク)が付着し、虫歯菌が急速に増殖します。これにより、歯に感染が広がり、エナメル質や象牙質が徐々に侵食されていきます。
3,口臭が悪化
口腔内には常に何らかの臭いが存在します。口腔ケアを徹底しても、生理的な口臭は完全になくすことはできません。しかし、歯垢や歯石が蓄積されると、別の種類の口臭が発生します。これは口腔内の細菌が食べかすなどを分解する際に発生するガスによるものです。つまり、歯石を放置すると、口臭が発生し、それが悩みの種になる可能性があるのです。
どうして歯石取りは歯科医院で行った方がいいのか

1,歯の歯石は歯ブラシでは除去できない
歯の歯石は、通常市販の歯ブラシや普段の歯磨きでは取り除くことができません。ましてや洗口液で分解することもできません。市販の歯ブラシを力強く使っても、硬い石のような歯石には効果がありません。そこで、歯科医院で行われるスケーリング(歯石除去)が非常に有効です。歯科医院のスケーリングでは、専用の器具を使用して歯石を丁寧に取り除きます。これにより、歯と歯茎の健康を保ち、口臭や歯周病のリスクを低減することができます。
2,歯科衛生士によるスケーリングが1番の予防
スケーリングは、専用の器具であるスケーラーを使用して歯石を削り取る治療方法です。スケーラーは先端が鋭く研がれており、硬化した歯垢を効率的に削り取ることができます。歯科医院では、状況に応じて超音波を利用したスケーラーを使うこともあります。超音波スケーラーは高周波の振動を利用して汚れを取り除く効果があります。スケーリングは歯と歯茎の健康を維持し、口臭や歯周病の予防に役立つ重要な処置です。スケーリングによる予防処置の効果はどんな薬でもかなわないと言われています。
3,市販のスケーラーはリスクが大きい
実際には、スケーラーという器具は薬局やドラッグストアでも市販されていますが、自分で歯石を取ることは非常に危険です。専門家である歯科医師や歯科衛生士でなければ、歯や歯茎を傷つける可能性が高くなります。そのため、歯石取りの処置は歯科医院で受けることが推奨されます。
歯石取りは専門的な技術が必要であり、適切な手順と器具を使って行うことが重要です。歯科医院では、経験豊富な専門家が適切なスケーリングを行い、歯石を効果的に除去してくれます。自己処理では歯や歯茎にダメージを与える可能性がありますし、滅菌されていない器具を使うと、様々な感染症や菌血症などのリスクがあり、大変危険です。安全かつ効果的な歯石取りを望むなら、専門の歯科医院を訪れることが大切です。
歯石取りの頻度は?

1番理想的な歯石取りの頻度は、3か月に1回程度です。ただし、歯周病や虫歯のリスクが高い方は一ヶ月に1回程度の頻度での歯石取りを考慮することもあります。
3ヶ月の間隔は、定期的な検診やメンテナンスを受ける理想的な周期です。口腔に特別な問題がない場合は、定期検診の際に歯石取りを行うことが良いでしょう。当医院ではスケーリングに加えて、歯周ポケットの検査・PMTC・虫歯のチェックも行い細かく患者様の口腔内をチェックしていマます。
歯周病の治療を受けた経験がある場合や、歯周病の症状が安定している場合は、症状の進行を防ぐためにも定期的な検診とメンテナンスが重要です。定期検診によって、口腔の健康を保ち、歯周病や他の口腔疾患の予防に役立つ適切なケアを受けることができます。
歯の歯石取りの費用はどれぐらいなのか
歯石取りは保険適応です。
歯石取りは、通常保険が適用されるため、3割負担でおよそ2000円~3,500円程度の支払いとなります。(初診なのか再診なのか状況で変わります)しかし、保険を適用するためには、歯石取りだけでなく、虫歯検査や歯周病検査も同時に行う必要があります。もし歯石取りのみを受ける場合、保険の適用外となり、全額自己負担となることにご留意ください。
当医院では自費診療によるプラスアルファの特別なクリーニングもご用意しております。
当医院では、歯周病の原因菌に最も有効なグルコン酸クロルヘキシジンを使用した歯周病ケアクリーニングや粒子の細かい炭酸カルシウムを使用したクリアクリーニングなど、より口腔内をきれいに、そして健康的に保つためのデンタルエステメニューを豊富にご用意しております。
▽詳しくはこちら▼
https://www.wakoshi-dental.com/service/whitening/#dentaleste
痛みを感じずしっかり落とす歯石取りを徹底しています
「歯石取り=痛い・しみる」といった固定概念をお持ちで、歯科医院に苦手意識を持った方はとても多いと思います。しかし、当医院の歯科衛生士は、患者様に少しでも歯科医院に来る不安感をなくしてもらいたいという思いで、痛みを感じさせずにしっかり汚れを落とすことを常に心がけています。
虫歯や歯周病が多い方はもちろん、特に治療箇所がなく健康だと思っている方など、万人共通で歯科医院でのクリーニングは必要なものです。
なぜなら、歯ブラシでお取りできる汚れというのは非常に限られており、どんな方でも罹患のリスクを持っているからです。

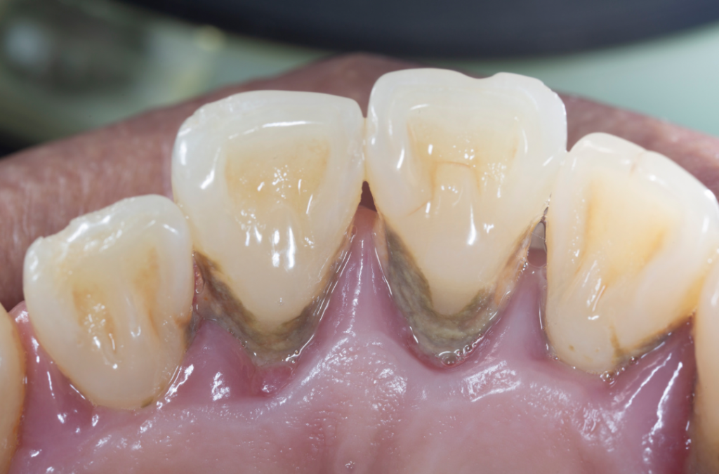
一見健康的できれいなお口の中の患者様の口腔内を染め出しさせていただきました。
歯石や歯垢は目では見えにくいですが、染色してみると一目瞭然ですね。
当医院での歯石取りでしっかりときれいにさせていただきました。

すごくきれいになりましたよね。
患者様にも喜んでいただけました。
歯と歯の間の歯石がおおかったので、術後少しスカスカする感覚がありますが、すぐに違和感は収まります。
歯医者さんはとてもたくさんありますが、そこに努めている歯科衛生士さんによってどうしても技術の差が出てきてしまいます。
ここまできれいにできる歯科衛生士さんもなかなかいないです。
是非、歯石取りは和光市デンタルオフィスにお越しください。
【患者様情報】
W・K様30代
主訴:定期検診希望
期間:30分
副作用とリスク:歯肉に炎症がある場合は通常より痛みを感じやすいこと。術後一時的なしみや違和感を感じることがあること。
カテゴリ
- 虫歯 (60)
- 歯周病 (44)
- 小児歯科 (17)
- 矯正歯科 (31)
- 口腔外科 (12)
- 親知らず (7)
- 顎関節症 (9)
- 噛み合わせ異常 (21)
- マイクロエンド (5)
- セラミック (28)
- インプラント (19)
- 小児矯正 (19)
- マウスピース矯正 (40)
- ワイヤー矯正 (30)
- 部分矯正 (22)
- ホワイトニング (36)
- デンタルエステ (46)
- デンタルIQ (129)
- スタッフブログ (124)
アーカイブ
- 2026年5月 (2)
- 2026年4月 (4)
- 2026年3月 (6)
- 2026年2月 (4)
- 2026年1月 (4)
- 2025年12月 (4)
- 2025年11月 (5)
- 2025年10月 (4)
- 2025年9月 (4)
- 2025年8月 (5)
- 2025年7月 (4)
- 2025年6月 (5)
- 2025年5月 (4)
- 2025年4月 (4)
- 2025年3月 (5)
- 2025年2月 (4)
- 2025年1月 (4)
- 2024年12月 (4)
- 2024年11月 (5)
- 2024年10月 (4)
- 2024年9月 (4)
- 2024年8月 (5)
- 2024年7月 (4)
- 2024年6月 (5)
- 2024年5月 (4)
- 2024年4月 (4)
- 2024年3月 (5)
- 2024年2月 (4)
- 2024年1月 (4)
- 2023年12月 (6)
- 2023年11月 (2)
- 2023年10月 (6)
- 2023年9月 (3)
- 2023年8月 (5)
- 2023年7月 (4)
- 2023年6月 (4)
- 2023年5月 (5)
- 2023年4月 (3)
- 2023年3月 (3)
- 2023年2月 (4)
- 2023年1月 (4)
- 2022年12月 (3)
- 2022年11月 (2)
- 2022年10月 (1)
- 2022年9月 (1)
- 2022年8月 (6)
- 2022年7月 (4)
- 2022年6月 (1)
- 2022年5月 (5)
- 2021年10月 (4)
- 2021年9月 (12)
- 2021年8月 (1)





