
インプラントの症例
33歳女性
左上を抜いて10年以上経っている。インプラントをしたい。
- before

- after

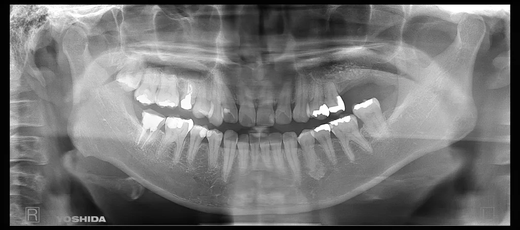
治療経過中の写真
主訴
左上を抜いて10年以上経っている。インプラントをしたい。
治療内容
治療本数:2
治療部位:26,27
治療方法:サイナスリフト6ヶ月待機+通常待機埋入
種類:ITI(ストローマン)+ジルコニア
治療部位:26,27
治療方法:サイナスリフト6ヶ月待機+通常待機埋入
種類:ITI(ストローマン)+ジルコニア
治療費
検査•診断料:¥10000 (税込11000)※
費用:¥929750 (税込1022725) ※
※費用は、当時のキャンペーン適用もしくは提供価格を示します。
費用:¥929750 (税込1022725) ※
※費用は、当時のキャンペーン適用もしくは提供価格を示します。
治療期間
回数:9回
期間:10ヶ月
期間:10ヶ月
リスク・副作用
術後の腫れ、痛み、歯肉退縮、インプラント埋入位置の近接による天然歯の動揺、歯根吸収、知覚過敏、歯の変色、術中の血管/神経損傷による出血/麻痺、副鼻腔での感染および上顎洞炎等
No.1064













