
インプラントの症例
49歳 女性
歯がない部分と悪い部分はインプラントをしたい。
- before

- after

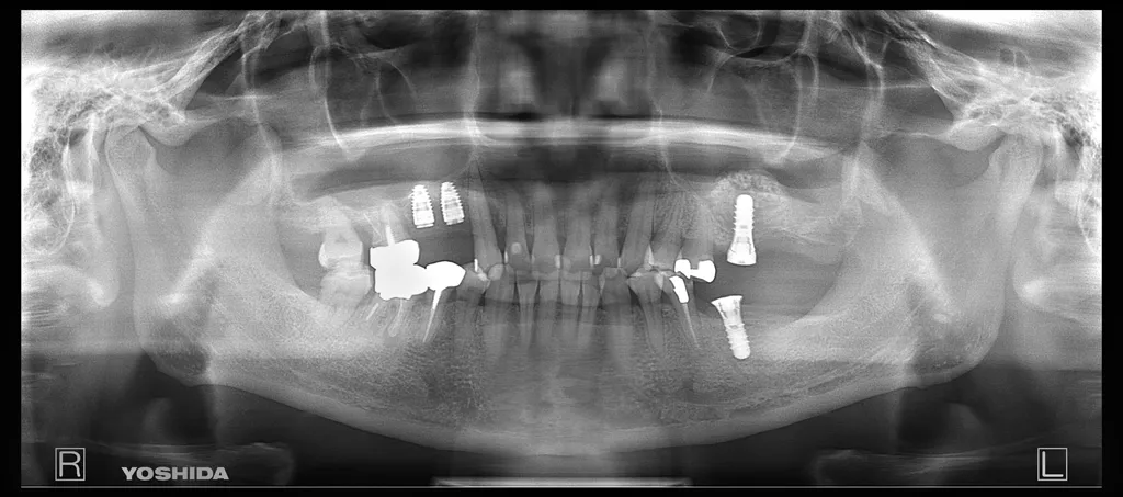
治療経過中の写真
主訴
歯がない部分と悪い部分はインプラントをしたい。
治療内容
治療本数:4
治療部位:15,14,11,26,36
治療方法:通常埋入+左側サイナスリフト(26)+GBR
種類: ITI(ストローマン)+ジルコニア
治療部位:15,14,11,26,36
治療方法:通常埋入+左側サイナスリフト(26)+GBR
種類: ITI(ストローマン)+ジルコニア
治療費
検査•診断料:¥10000 (税込11000)※ 費用:¥1890000 (税込2079000) ※
治療期間
回数:8回
期間:8ヶ月
期間:8ヶ月
リスク・副作用
術後の腫れ、痛み、歯肉退縮、インプラント埋入位置の近接による天然歯の動揺、歯根吸収、知覚過敏、歯の変色、術中の血管/神経損傷による出血/麻痺、副鼻腔での感染および上顎洞炎等
No.3654













