
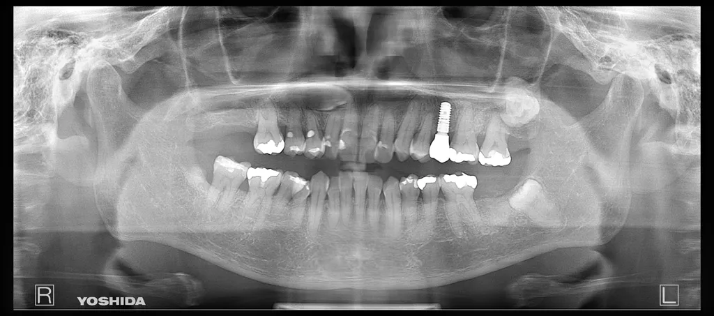
インプラントの症例
54歳 女性
歯が割れていてインプラントを検討したい。
- before

- after

治療経過中の写真
主訴
主訴:歯が割れていてインプラントを検討したい。
治療内容
治療本数:1
治療部位:25
治療方法:抜歯即時埋入+GBR
種類: ITI(ストローマン)+ジルコニア
治療部位:25
治療方法:抜歯即時埋入+GBR
種類: ITI(ストローマン)+ジルコニア
治療費
検査•診断料:¥10000 (税込11000)※
費用:¥450000 (税込495000) ※
※費用は、当時のキャンペーン適用もしくは提供価格を示します。
費用:¥450000 (税込495000) ※
※費用は、当時のキャンペーン適用もしくは提供価格を示します。
治療期間
回数:3回
期間:4ヶ月
期間:4ヶ月
リスク・副作用
術後の腫れ、痛み、歯肉退縮、インプラント埋入位置の近接による天然歯の動揺、歯根吸収、知覚過敏、歯の変色、術中の血管/神経損傷による出血/麻痺、副鼻腔での感染および上顎洞炎等
No.668













