
矯正歯科の症例
38歳 女性
前歯の歯並びを治したい。
- before

- after

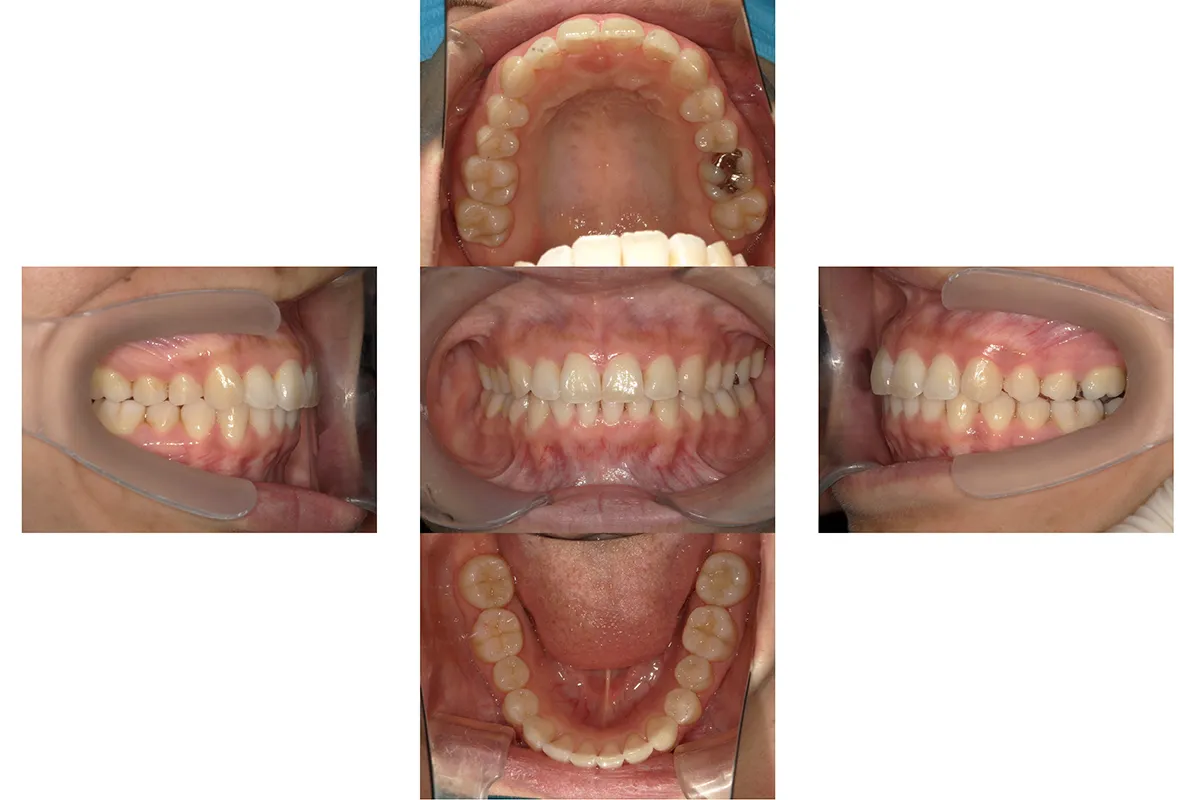
治療経過中の写真
主訴
前歯の歯並びを治したい。
治療内容
治療方法:インビザラインスタンダード(非抜歯)
治療費
検査・診断料:¥40000(税込44000) ※
¥650000(税込715000) ※
※費用は、当時のキャンペーン適用もしくは提供価格を示します。
¥650000(税込715000) ※
※費用は、当時のキャンペーン適用もしくは提供価格を示します。
治療期間
治療回数:1回/2-3ヶ月
動的期間:1年3ヶ月
保定期間:2-3年(目安)
動的期間:1年3ヶ月
保定期間:2-3年(目安)
リスク・副作用
副作用およびリスク:虫歯、歯肉炎、歯肉退縮、動揺、歯根吸収、知覚過敏、歯の変色、顎や口腔周囲筋への負担、装置による軽度の発音障害等
No.2440











