
Case
和光市歯医者・矯正歯科|
和光市デンタルオフィス 症例集
インプラントの症例
-
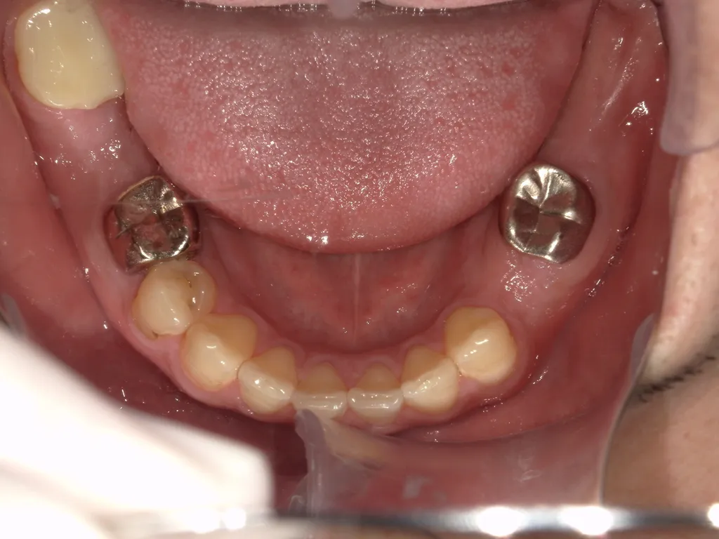
31歳 男性
歯がない部分にインプラントをしたい。 できるだけ安くしたい。主訴
歯がない部分にインプラントをしたい。 できるだけ安くしたい。
-
25歳 女性
前歯の見た目を治してほしい。主訴
前歯の見た目を治してほしい。
-
58歳 男性
右上の歯が揺れている。できるならインプラントをしたい。主訴
右上の歯が揺れている。できるならインプラントをしたい。
-
55歳 女性
左上の歯が揺れている。できるならインプラントをしたい。主訴
左上の歯が揺れている。できるならインプラントをしたい。
-
27歳 女性
矯正治療をして隙間を作ってからインプラントをしたい。主訴
矯正治療をして隙間を作ってからインプラントをしたい。
-
25歳 女性
右の歯を抜いて半年くらい経っている。インプラントをしたい。主訴
右の歯を抜いて半年くらい経っている。インプラントをしたい。















