
Case
和光市歯医者・矯正歯科|
和光市デンタルオフィス 症例集
矯正歯科の症例
-
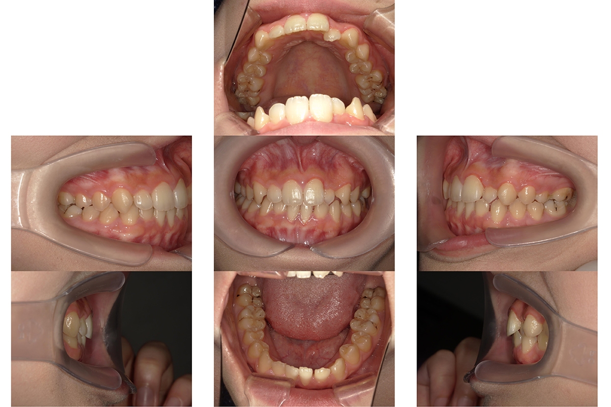
24歳 女性
ガタガタの歯並びを治したい。主訴
ガタガタの歯並びを治したい。
-
33歳 女性
下の前歯の歯並びを治したい。できたら出っ歯を治したい。主訴
下の前歯の歯並びを治したい。できたら出っ歯を治したい。
-
19歳 女性
裏側にある歯を前に並べたい。抜歯しないとダメですか?主訴
裏側にある歯を前に並べたい。抜歯しないとダメですか?
-
23歳 女性
2番目の歯が内側にあって気になる。治したい。主訴
2番目の歯が内側にあって気になる。治したい。
-
28歳 女性
歯並びを治して、前歯を下げたい。主訴
歯並びを治して、前歯を下げたい。
-
8歳 男性
下の前歯が逆になっている。受け口になってしまわないか心配。主訴
下の前歯が逆になっている。受け口になってしまわないか心配。















