和光市歯医者・矯正歯科|和光市デンタルオフィス
コラム・ブログ
COLUMN・BLOG
大人でも抜歯を避けられる?MSE(上顎骨拡大装置)のメリットとデメリットについて解説!
矯正医として患者さんと相談していると、「矯正治療とはいえ、健康な歯を抜きたくない」、「他院で大学病院で手術しないと難しいと言われた」というお声をよく耳にします。
確かに、抜歯への恐怖心で矯正治療に踏み出せない方も多いですよね?
実は、MSEは抜歯を回避できる可能性があるんです。
さて、今回の記事では実際の症例をご紹介しながらMSEについて徹底解説していきます。
MSE(上顎骨拡大装置)とは?従来の装置とは何が違うのか?
MSE(上顎骨拡大装置)の仕組み

MSEとは、UCLAのMoon先生によって開発されたMaxillary Skeletal Expanderの略称です。別名でMARPEとも呼びます。
上顎骨を構成する口蓋は、左右の2つの骨が正中口蓋縫合で癒合してできており、骨格的に拡大する場合はこの癒合部を離開させることがまず必要です。小学生の時期ではこの癒合部が完成していないため、従来のRPE(急速拡大装置)で十分拡大ができるのですが、成人の場合は癒合が完成してしまっているため、仮にRPEを使用しても失敗に終わってしまいます。
一方、MSEは、正中口蓋縫合を挟み込む位置に矯正用アンカーを4本埋入して、患者さんに真ん中の拡大ネジを毎日回してもらうことで縫合を確実に離開させることを目指すため、成人の場合でも骨格的に上顎骨を拡大することができるのです。
【徹底比較】MSE vs RPE vs QH

クワドヘリックスは拡大装置としてはよく知られていますが、こちらは骨格的な拡大ではなく、歯の傾斜移動を促して歯列弓の拡大を行うものですので、MSEやRPEとはアプローチが異なります。
また比較表では、MSEは骨支持としていますが、RPEやクワドヘリックスと同様にバンドの使用はありますのでここで補足をさせてください。
MSEが向いている人は?

- 上顎の歯列弓がかなり狭くなっている方(V字型歯列弓など)
- 上顎で抜歯をせずに矯正をしたい方
- 受け口・反対咬合(明らかに上顎骨劣成長がある)の方
- 骨切り術のような大きな外科処置を避けたい方
上記に当てはまる歯並びの方は、MSEを併用する矯正治療を検討してただいた方がいいと思います。
MSEのメリット・デメリットは?
MSE(上顎骨拡大装置)のメリット
- 大人でも骨格的なレベルで拡大可能
成人でも正中口蓋縫合を離開させ、上顎骨の拡大ができることが最大のメリットです。 - 非抜歯矯正の可能性が広がる
下顎の歯並びが酷くなく、上顎のみ歯並びは悪いケースは、明らかに上顎骨の劣成長が原因です。
その原因自体を改善できるMSEを併用すれば、抜歯を避けられる可能性が非常に高いです。 - 矯正後の後戻りが少ない
上顎骨そのものを拡げ、縫合の離開部には新しい骨が形成されるため、後戻りが少ないとされます。 - バッカルコリドーの改善ができる可能性が高い
口角と歯列の間にできる黒い部分が少なくなり、より綺麗な歯並びにみえます。
MSE(上顎骨拡大装置)のデメリット
- 矯正用アンカーの外科処置が必要
局所麻酔を使用すれば、矯正用アンカーを入れること自体は痛みを感じることはなく、15分程度で全て終了します。 - 一時的ではあるものの前歯に正中離開を生じる
MSEで正中口蓋縫合が離開することで上顎の前歯部に大きな隙間ができますので、その期間は見た目で少し苦労してしまう可能性があります。 - 装置装着中の違和感・発音しづらさ・清掃のしづらさ
MSEに限ったことではないですが、矯正の固定性装置が口腔内にあると、装置の大きさによっては違和感や発音のしづらさを感じたり、歯磨きなどのメンテナンスで苦労することがあるかもしれません。 - 失敗する可能性がある
加齢、ブラキシズム(歯ぎしり・食いしばり)によって縫合部が離開できない場合は失敗することがあります。
和光市歯医者・矯正歯科 和光市デンタルオフィスのMSE症例
和光市歯医者・矯正歯科 和光市デンタルオフィスの症例をご紹介いたします。
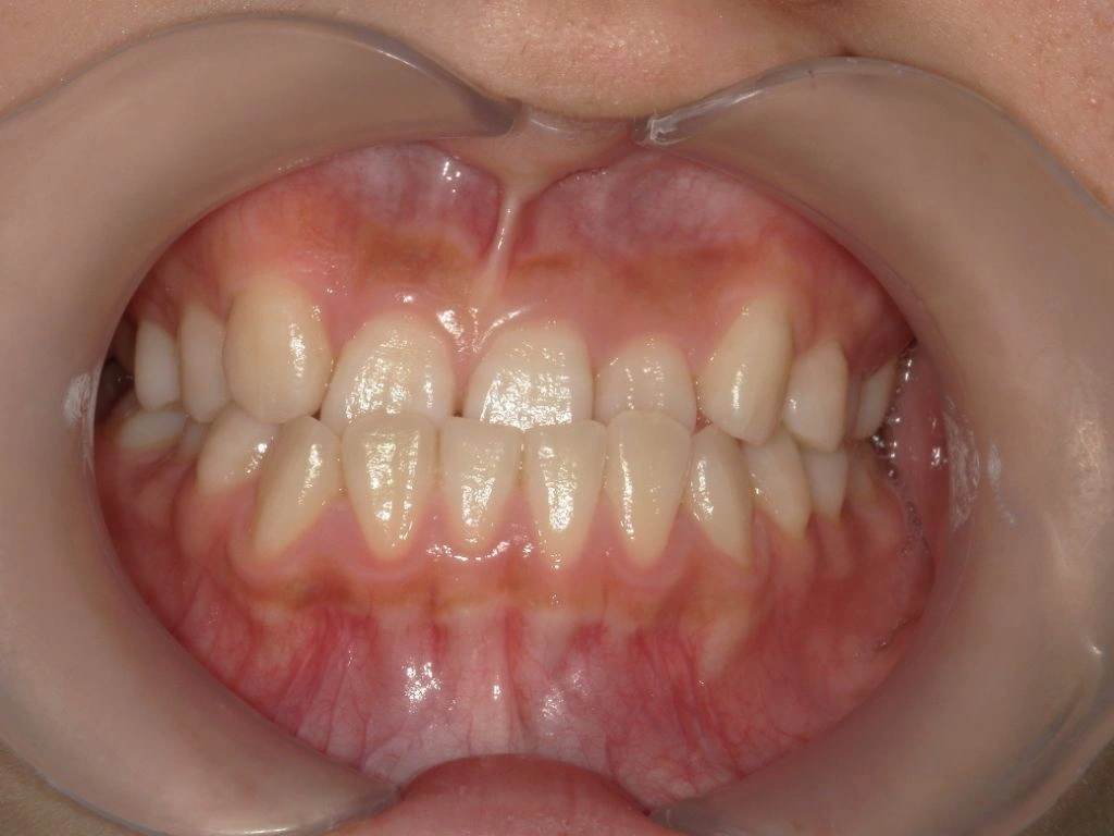
【治療前】

セファログラム分析

セファロ分析から、明らかに上顎劣成長及び下顎骨の過成長を認めます。MSEの適用症例と判断しました。
【治療中】

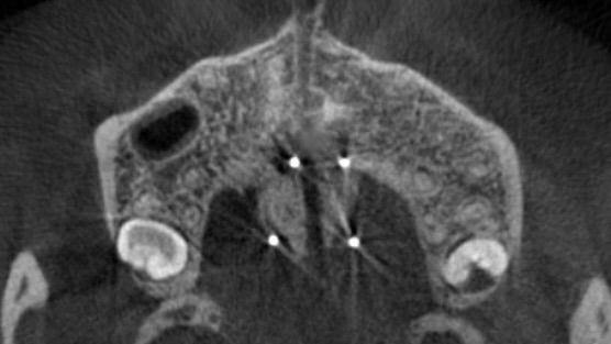
まず、MSEの中央部に正中口蓋縫合をまたぐ位置に4本の矯正用アンカーを埋入しました。浸潤麻酔で痛みなく、15分程度で処置自体は終了です。

中央部にネジを回す部分があるため、付属するレンチを患者さんに1日1回を目安に回していただきます。
初めは拡げる応力が集中するため、鈍痛を感じることもありますが、日常生活に大きな支障が出るほどではありません。

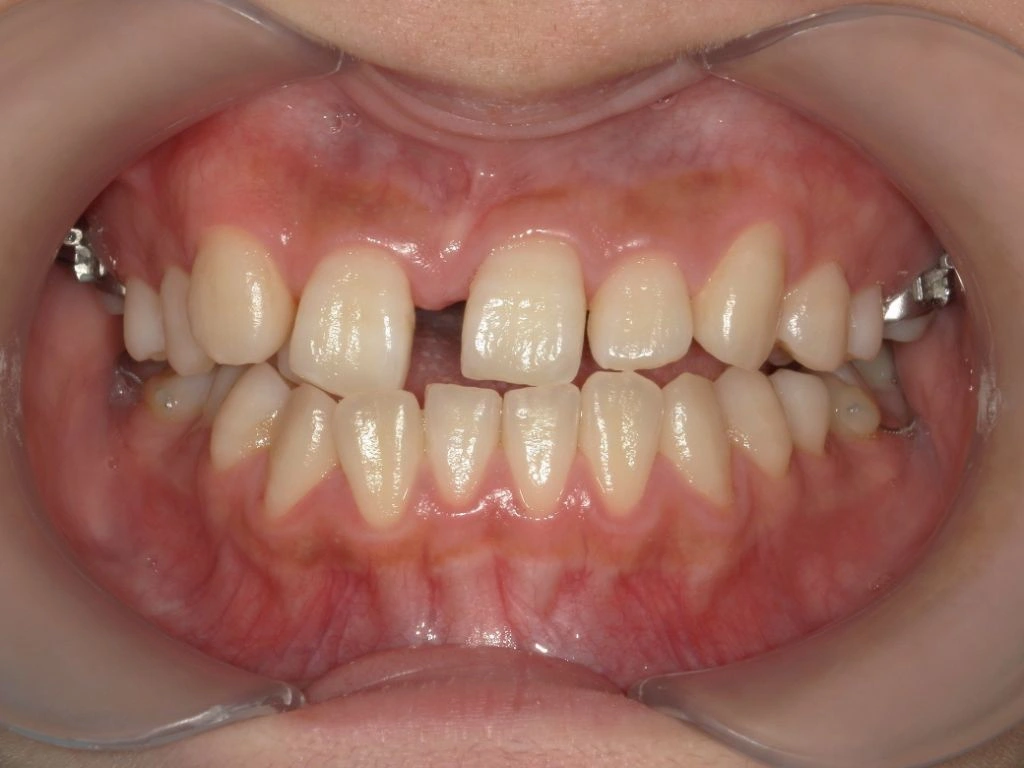
MSEの効果が出てくると、上顎の前歯部には隙間ができます。これは見た目としては我慢ポイントにはなるのですが、確実に正中口蓋縫合が離開して骨格的な拡大ができている証拠でもあるので不安になる必要はありません。


CT断面図を観ていただくと、正中口蓋縫合がしっかりと離開されています。

MSEを装着した状態でワイヤー矯正をスタートさせます。オープンコイルを使用しながらスペースを確保しつつ、口蓋側に転位している2番の側切歯を移動させていきます。
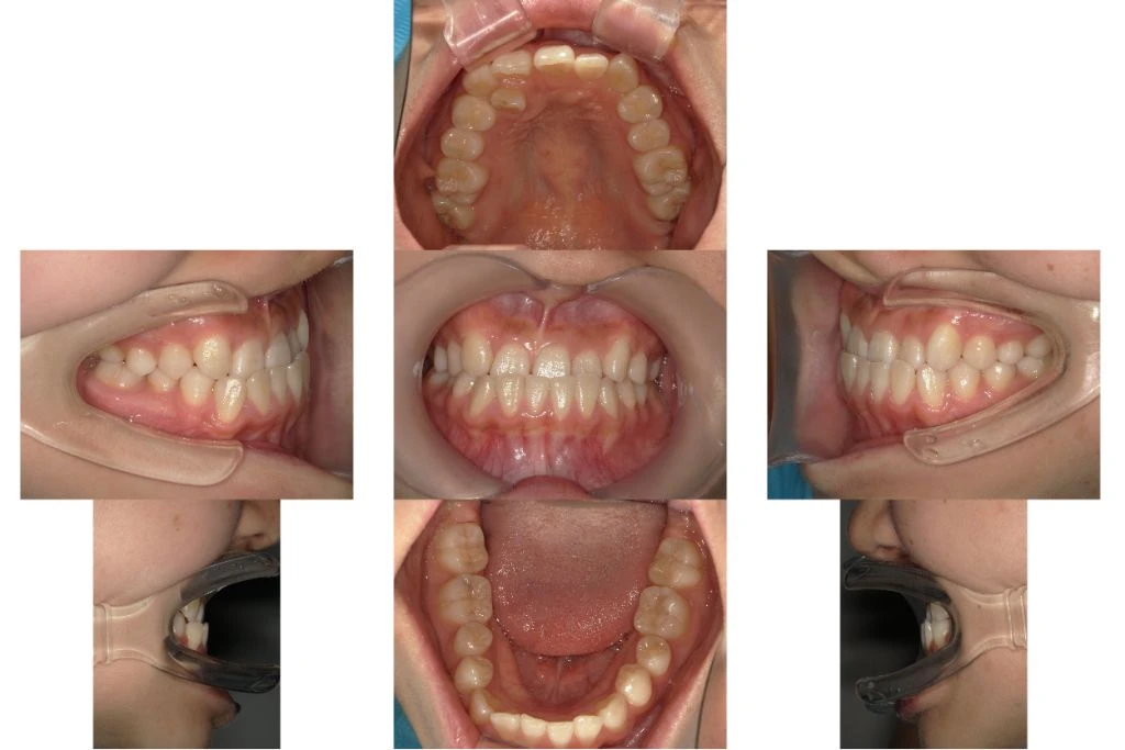
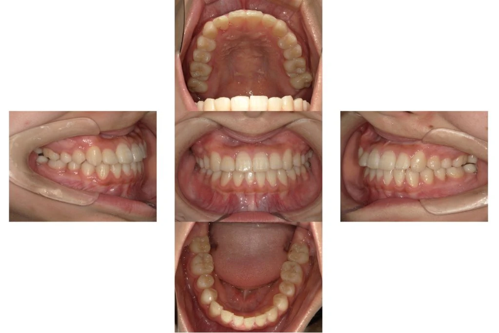
【治療後】

MSEを併用しながらワイヤー矯正が終了した状態です。本来の顎位で上下の正中(真ん中)が合ってきて概ね矯正治療としてのゴールが見えてきました。
セファログラム分析

SNBの改善ができており、下顎の過成長傾向を軽減することができております。
A to N-Perp(FH)の数値も改善して、上顎前歯部の位置もほぼ平均値に近いところにあります。
セファログラムの重ね合わせでの評価

セファログラムの重ね合わせですが、Angle(奥歯の噛み合わせ)も1級になり、下顎前歯部の位置が下がったため、下唇の突出感も軽減しています。
【患者情報】
- 年齢:23歳
- 性別:女性
- 方法:表側セルフライゲーションブラケット(Empower)+シルバーワイヤー+MSE+下顎遠心移動用アンカー2本
- 回数:1回/月
- 動的期間:2年
- 検査診断料:¥30000(税込33000)
- 費用:¥930000(税込1023000)
- 副作用およびリスク:歯の動揺、歯肉退縮、歯根吸収、顎や口腔周囲筋への負担、装置による軽度の発音障害、アンカー埋入周囲の炎症及び感染、アンカーの喪失(ロスト)
- 担当医:古川智基(歯医者のとも先生)
- No.4949
MSEはどこで受けられますか?
和光市歯医者・矯正歯科|和光市デンタルオフィス インプラント・矯正ステーションではMSEの症例実績は豊富にありますので、矯正治療で抜歯をすることに抵抗を感じている方は、当院の「歯並びの矯正無料相談」にいらっしゃってください。
https://www.wakoshi-dental.com/service/orthodontic/
監修・著者

和光市歯医者・矯正歯科|和光市デンタルオフィス インプラント・矯正ステーションの専務理事 兼 院長。10年以上の臨床経験を持ち、国際口腔インプラント学会認定医、日本デジタル矯正歯科学会認定医、厚生労働省認定臨床研修医指導医の資格を有する。
https://www.wakoshi-dental.com/staff/
カテゴリ
- 虫歯 (57)
- 歯周病 (41)
- 小児歯科 (17)
- 矯正歯科 (31)
- 口腔外科 (12)
- 親知らず (5)
- 顎関節症 (9)
- 噛み合わせ異常 (20)
- マイクロエンド (5)
- セラミック (28)
- インプラント (19)
- 小児矯正 (19)
- マウスピース矯正 (40)
- ワイヤー矯正 (30)
- 部分矯正 (22)
- ホワイトニング (36)
- デンタルエステ (46)
- デンタルIQ (128)
- スタッフブログ (123)
アーカイブ
- 2026年4月 (3)
- 2026年3月 (6)
- 2026年2月 (4)
- 2026年1月 (4)
- 2025年12月 (4)
- 2025年11月 (5)
- 2025年10月 (4)
- 2025年9月 (4)
- 2025年8月 (5)
- 2025年7月 (4)
- 2025年6月 (5)
- 2025年5月 (4)
- 2025年4月 (4)
- 2025年3月 (5)
- 2025年2月 (4)
- 2025年1月 (4)
- 2024年12月 (4)
- 2024年11月 (5)
- 2024年10月 (4)
- 2024年9月 (4)
- 2024年8月 (5)
- 2024年7月 (4)
- 2024年6月 (5)
- 2024年5月 (4)
- 2024年4月 (4)
- 2024年3月 (5)
- 2024年2月 (4)
- 2024年1月 (4)
- 2023年12月 (6)
- 2023年11月 (2)
- 2023年10月 (6)
- 2023年9月 (3)
- 2023年8月 (5)
- 2023年7月 (4)
- 2023年6月 (4)
- 2023年5月 (5)
- 2023年4月 (3)
- 2023年3月 (3)
- 2023年2月 (4)
- 2023年1月 (4)
- 2022年12月 (3)
- 2022年11月 (2)
- 2022年10月 (1)
- 2022年9月 (1)
- 2022年8月 (6)
- 2022年7月 (4)
- 2022年6月 (1)
- 2022年5月 (5)
- 2021年10月 (4)
- 2021年9月 (12)
- 2021年8月 (1)





