和光市歯医者・矯正歯科|和光市デンタルオフィス
コラム・ブログ
COLUMN・BLOG
矯正後にできた白いシミ…それ、ICONで改善できます!削らない審美治療とは?
矯正治療が終わって、きれいに整った歯並びを見たときの嬉しさはとても大きいですよね。
長い期間がんばった分、「やってよかった」と感じる瞬間だと思います。
でもその一方で、歯に白いシミみたいなものがあると気づいて不安になったことはありませんか?
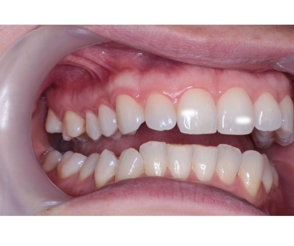
実はこの白いシミ、矯正後に意外と多く見られる「ホワイトスポット」と呼ばれる状態です。歯の表面が少し弱くなり、白く見えてしまうのが特徴で、むし歯の一歩手前のサインともいわれています。
「せっかく歯並びがきれいになったのに、見た目が気になる…」
「これってもう治らないの?」
そんなふうに感じて、どうしたらいいのか分からずそのままにしている方も少なくありません。
ですが最近では、歯を削らずにこの白いシミを目立たなくする方法もあります。
この記事では、矯正後に起こる白濁の原因と、その改善方法についてわかりやすくお話ししていきます。
矯正後に白いシミができるのはなぜ?

矯正治療が終わったあとに見られる白いシミの正体は、ホワイトスポット、いわゆる白濁と呼ばれる状態です。これは、歯の表面のエナメル質が弱くなり、白く見えている状態で、いわば初期むし歯のサインでもあります。
では、なぜ矯正後にこのような変化が起こりやすいのでしょうか。
大きな理由のひとつが、矯正装置による清掃のしにくさです。ブラケットやワイヤーが付いている間は、どうしても歯ブラシが届きにくい部分が増えます。特に装置の周りや歯と歯ぐきの境目にはプラークいわゆる歯垢がたまりやすく、普段以上に丁寧なケアが必要になります。
しかし、どんなに頑張っていても、毎日のセルフケアだけで完璧に磨ききるのは難しいものです。その結果、磨き残しが続くことで、プラークの中の細菌が酸を出し、歯の表面からカルシウムやリンが溶け出してしまいます。これを「脱灰」といい、この状態が進むと歯の表面が白く濁って見えるようになります。
特に多いのが、ブラケットが付いていた部分の周囲に沿って白く跡のように残るケースです。矯正装置を外したあとに初めて気づく方も多く、やっと装置が取れてスッキリしたのに、別の悩みが出てきて戸惑ってしまうと思います。
つまり矯正後の白いシミは、特別なことが起きたわけではなく、矯正中の環境によって誰にでも起こりうる変化です。だからこそ、「自分だけ」と思いすぎず、まずは正しい知識を知ることが大切です。
白濁は自然に治るの?

矯正後に気づいた白いシミ、いわゆるホワイトスポットを見て、「これって時間が経てば自然に治るの?」と疑問に思う方はとても多いです。
できれば治療をせずに、元のきれいな歯に戻ってほしいですよね。
結論からお伝えすると、ある程度は改善する可能性はあるものの、完全に元通りになるケースは多くありません。
歯の表面では、日々「脱灰」と「再石灰化」という現象が繰り返されています。食事などによって酸性の環境になると歯のミネラルが溶け出す脱灰、その後、唾液やフッ素の働きによって再びミネラルが戻る再石灰化というサイクルです。
白濁は、このバランスが崩れて脱灰が進んだ結果、エナメル質の内部がスカスカになり、白く見えている状態です。つまり見た目の問題というより、歯の内部構造の変化が起きている状態なんです。
白く濁っているけどあまり濃くない場合は、フッ素入りの歯みがき粉を使ってみるのも一つの方法です。また、歯医者さんで定期的にフッ素を塗ってもらったり、クリーニングを受けたりすると、再石灰化が進んで少しずつ目立たなくなることもあります。
ただしここで大切なのは、“完全に均一な見た目に戻るわけではない”という点です。
歯が再石灰化によって強くなっても、一度変わってしまったエナメル質の構造までは元通りにならないことが多いです。
また、白濁の部分は表面がわずかに粗くなっていることがあり、そこに着色が入り込むことで、時間が経つにつれて逆に目立ってしまうケースもあります。コーヒーやお茶、ワインなどをよく飲まれる方は特に注意が必要です。
このように、「放っておけば自然にきれいになる」と期待してしまうと、思ったほど変化がなく、長期間モヤモヤしたまま過ごすことになってしまう可能性もあります。
もちろんすべてのケースで治療が必要というわけではありませんが、見た目が気になるレベルの白濁に関しては、何らかのアプローチを検討したほうが満足度は高いことが多いです。
削らずに改善できる「ICON治療」とは?

前の章でお伝えしたように、白濁は自然に完全に消えるケースが少ないため、多くの方がここでこう感じます。
「やっぱり削るしかないのかな…」と。
せっかく矯正治療を頑張って、健康な歯を残してきたのに、見た目のために歯を削るとなると、不安や抵抗を感じるのは当然ですよね。実際、従来の治療では、白濁が気になる場合は歯をわずかに削って詰め物をする方法が選ばれることもありました。
ですが最近では、歯を削らずに白濁を目立たなくする「ICON治療」という選択肢があります。
ICON治療とは、白濁が起きている部分に専用の低粘度レジンいわゆる樹脂を浸透させることで、歯の内部構造を補い、周囲と色を近づける治療法です。白く見えている原因は、エナメル質の中にできた微細なすき間によるものですが、そこにレジンが入り込むことで、結果として自然な色味に近づいて見えるようになります。
ポイントは、「削る」のではなく「しみ込ませて整える」治療であることです。歯の表面を大きく削る必要がないため、健康な歯質をできるだけ残したまま、見た目の改善を目指せるのが大きな特徴です。
また、処置自体も比較的シンプルで、
①表面をクリーニングする
②専用の薬剤で処理する
③レジンを浸透させる
といったステップで行われることが多く、痛みもほとんどありません。麻酔を使わずに受けられるケースも多いため、「歯の治療が苦手…」という方にも受け入れられやすい方法です。
さらに、1回の施術で変化を実感しやすい点も魅力のひとつです。もちろん白濁の深さや範囲によって仕上がりには個人差がありますが、「思っていたより目立たなくなった」と感じる方が多い治療です。
「削らないと治らない」と思っていた白いシミに対して、こうした選択肢があることを知るだけでも、気持ちが少し楽になるのではないでしょうか。
白濁の状態によっては適応が難しいケースもあるため、すべての方に必ず行えるわけではありませんが、“削りたくないけれど見た目を改善したい”という方にとって、ICON治療はとても有力な選択肢といえます。
ホワイトニングではダメなの?

白いシミが気になったとき、多くの方がまず思い浮かべるのが「ホワイトニングでなんとかならないかな?」という方法ではないでしょうか。歯を白くする治療として広く知られているため、白いくするにはホワイトニングで改善できそうと感じるのはとても自然なことです。
しかし実は、白濁いわゆるホワイトスポットに対してホワイトニングだけはあまり適していない場合が多いのです。
その理由は、白濁が“色の問題”ではなく、歯の内部構造の違いによって起こっている現象だからです。ホワイトニングは、歯の中の色素を分解して全体をトーンアップさせる治療ですが、白濁の部分はすでに周囲よりも白く見えている状態です。そのため、歯全体を白くすると、かえって白濁部分とのコントラストが強くなり、「まだら感」が目立ってしまうことがあります。
実際に、「歯を白くしたら、逆に白いシミが気になるようになった」というご相談は少なくありません。これは決して失敗ではなく、ホワイトニングの特性上起こりうる変化なのです。
また、ホワイトニング直後は歯が一時的に脱水状態になるため、白濁がより強調されて見えることもあります。時間の経過とともに多少なじむことはありますが、根本的に白濁そのものが改善するわけではありません。
もちろん、ホワイトニング自体は歯を明るく見せるための有効な方法であり、審美的な満足度も高い治療です。ただし、「歯の色を白くすること」と「白濁を目立たなくすること」は別のアプローチが必要という点がとても重要です。
ではどうするのがよいのでしょうか。
当医院では、先にホワイトニングをして周りの歯の色を白くしてから、白濁に対する処置、つまりICON治療を行うケースが多いです。この順番で行うことで、色ムラを抑えつつ、より自然で均一な仕上がりを目指すことができます。
「とりあえずホワイトニングをすればきれいになる」と思って進めてしまう前に、ご自身の歯の状態に合った方法を選ぶことが大切です。白濁が気になる場合は、原因に合わせた適切な治療を選ぶことが、満足のいく結果への近道になります。
今日はここまで!次回もお楽しみに!
カテゴリ
- 虫歯 (55)
- 歯周病 (39)
- 小児歯科 (17)
- 矯正歯科 (31)
- 口腔外科 (12)
- 親知らず (5)
- 顎関節症 (9)
- 噛み合わせ異常 (20)
- マイクロエンド (5)
- セラミック (28)
- インプラント (19)
- 小児矯正 (19)
- マウスピース矯正 (40)
- ワイヤー矯正 (30)
- 部分矯正 (22)
- ホワイトニング (36)
- デンタルエステ (45)
- デンタルIQ (125)
- スタッフブログ (121)
アーカイブ
- 2026年3月 (5)
- 2026年2月 (4)
- 2026年1月 (4)
- 2025年12月 (4)
- 2025年11月 (5)
- 2025年10月 (4)
- 2025年9月 (4)
- 2025年8月 (5)
- 2025年7月 (4)
- 2025年6月 (5)
- 2025年5月 (4)
- 2025年4月 (4)
- 2025年3月 (5)
- 2025年2月 (4)
- 2025年1月 (4)
- 2024年12月 (4)
- 2024年11月 (5)
- 2024年10月 (4)
- 2024年9月 (4)
- 2024年8月 (5)
- 2024年7月 (4)
- 2024年6月 (5)
- 2024年5月 (4)
- 2024年4月 (4)
- 2024年3月 (5)
- 2024年2月 (4)
- 2024年1月 (4)
- 2023年12月 (6)
- 2023年11月 (2)
- 2023年10月 (6)
- 2023年9月 (3)
- 2023年8月 (5)
- 2023年7月 (4)
- 2023年6月 (4)
- 2023年5月 (5)
- 2023年4月 (3)
- 2023年3月 (3)
- 2023年2月 (4)
- 2023年1月 (4)
- 2022年12月 (3)
- 2022年11月 (2)
- 2022年10月 (1)
- 2022年9月 (1)
- 2022年8月 (6)
- 2022年7月 (4)
- 2022年6月 (1)
- 2022年5月 (5)
- 2021年10月 (4)
- 2021年9月 (12)
- 2021年8月 (1)





