和光市歯医者・矯正歯科|和光市デンタルオフィス
コラム・ブログ
COLUMN・BLOG
矯正後にできた白いシミ…それ、ICONで改善できます!削らない審美治療とは?part3
前回の記事をお読みでない方はpart1.2からぜひご覧ください。
放置するとどうなる?

むし歯へ進行するリスク
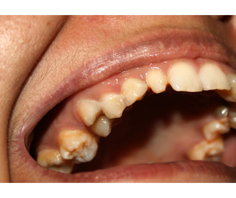
白濁は「見た目の問題」として捉えられがちですが、実はそれだけではありません。
前の章でも少し触れましたが、白いシミの正体は初期むし歯のサインであり、歯の表面ではすでに変化が起きている状態です。
通常、健康なエナメル質はミネラルがしっかり詰まっており、外からの刺激にも強い構造になっています。ですが白濁がある部分は、脱灰によってミネラルが失われ、内部がスカスカになっている状態です。そのため、見た目以上にダメージを受けやすく、むし歯が進行しやすい環境になっています。
この段階ではまだ穴はあいていないため、痛みなどの自覚症状はほとんどありません。そのため、「特に困っていないから大丈夫」とそのままにしてしまう方も多いのですが、実はここが注意すべきポイントです。
白濁の状態を放置していると、日々の食事や間食によって酸にさらされるたびに、さらに脱灰が進んでいきます。そして再石灰化が追いつかなくなると、やがてエナメル質の表面が崩れ、実際に穴があいた“むし歯”へと進行してしまう可能性があります。
特に、矯正後にできた白濁は、もともとプラークが停滞しやすかった部位にできていることが多いため、そのままにしていると同じ場所で再びむし歯が進行するリスクも考えられます。
また、一度むし歯として進行してしまうと、ICONのような「削らない治療」では対応が難しくなり、削って詰める治療が必要になるケースも出てきます。つまり、早い段階であれば選べた選択肢が、後になると限られてしまうということです。
「痛くないから大丈夫」ではなく、「今はまだ初期の状態だからこそできることがある」と考えることが大切です。
白濁は、歯が出している小さなサイン。その段階で気づいてあげることが、将来のむし歯予防にもつながっていきます。
表面がザラつき、着色しやすくなるリスク
白濁を放置した場合のもうひとつの変化として、歯の表面がわずかにザラつき、着色がつきやすくなるという点があります。
本来、健康なエナメル質の表面はとてもなめらかで、ツヤがあります。この滑らかさがあることで、汚れや色素が付着しても落ちやすく、歯本来のきれいな見た目が保たれています。
しかし白濁がある部分は、脱灰によってエナメル質の構造が乱れ、目に見えないレベルで細かなでこぼこができている状態です。一見するとツルツルしているように見えても、実際には表面の質が変化しているため、汚れが引っかかりやすくなっています。
このザラザラしているところには、プラークつまり歯垢だけでなく、食べ物や飲み物に含まれる色素も付着しやすくなります。たとえば、コーヒーやお茶、赤ワイン、カレーなど、日常的に口にするものの影響を受けやすく、少しずつ色が入り込んでいきます。
その結果、最初は「白いシミ」として気になっていたものが、時間の経過とともに白さ+着色が混ざった、より目立つ色ムラへと変化してしまうことがあります。
さらにやっかいなのは、一度入り込んだ着色は、通常の歯みがきだけでは落としきれないことが多い点です。表面がなめらかな歯であれば落とせたはずの汚れも、ザラつきがあることで残りやすくなり、「だんだん目立ってきた」と感じる原因になります。
また、見た目の問題だけでなく、汚れが付きやすい状態はむし歯や歯周病のリスクを高める要因にもなります。つまり白濁は、放置することで審美面と健康面の両方に影響を与える可能性があるということです。
「最初はそこまで気にならなかったのに、気づいたら前より目立っている気がする」
そんな変化を感じる場合は、こうした表面の変化が関係しているかもしれません。
だからこそ、白濁は“見た目だけの問題”として軽く考えず、早めにケアや治療を検討することが大切です。
ICON治療の流れと施術時間について

白濁の改善にICON治療が気になっているけど、「具体的にどんな治療をするのか」「痛みはどうなのか」と不安に思っている人もいるかもしれません。
そこで今回は、ICON治療の大まかな流れをできるだけわかりやすくお伝えします。
痛くないの?
ICON治療についてご説明すると、多くの方が最初に気にされるのが「痛みはあるのか?」という点です。
歯の治療と聞くと、「削る=痛い」「麻酔が必要」というイメージをお持ちの方も多いと思います。
結論からお伝えすると、ICON治療は基本的に痛みがほとんどない治療です。
その理由は、ICONが歯を削らずに行う処置だからです。一般的なむし歯治療のようにドリルで歯を削る工程がないため、神経に刺激が伝わることがほとんどありません。そのため、多くのケースで麻酔を使わずに施術を行うことができます。
実際に受けられた患者さんからも、「思っていたより全然ラクだった」「これならもっと早くやればよかった」といった声をいただくことが多い治療です。
ただし、まったく何も感じないというわけではなく、処置の中で使用する薬剤の影響で、一時的に軽いしみる感覚、つまり知覚過敏のような感覚が出ることがあります。特に、もともと歯がしみやすい方や、白濁の部分が広い場合には、多少の違和感を覚えることもあります。
とはいえ、その刺激は一時的なもので、強い痛みが続くことはほとんどありません。もし不安がある場合は、事前にお声がけいただければ、処置のペースを調整したり、必要に応じて対処することも可能です。
また、治療後に一時的な違和感を感じる場合もありますが、多くは時間の経過とともに落ち着いていきます。日常生活に大きく影響するようなケースはまれです。
「痛いのが怖くて歯医者に行きづらい…」という方にとっても、ICON治療は比較的ハードルの低い選択肢といえます。
不安を感じやすい治療だからこそ、なるべく負担の少ない方法で改善できるという点は、大きな安心材料になるのではないでしょうか。
どれくらい時間がかかるの?
ICON治療を検討されている方からよくいただくのが、「どれくらい時間がかかるの?」というご質問です。
お仕事やご予定の合間に通院される方も多いため、治療時間は気になるポイントですよね。
結論からお伝えすると、ICON治療は比較的短時間で終わることが多く、1回の施術で完了するケースがほとんどです。
具体的には、白濁の範囲や本数にもよりますが、1本あたりおおよそ1時間程度が目安になります。前歯など数本まとめて行う場合でも、全体で1時間〜1時間半ほどで終わることが多く、長時間の通院が必要になるケースはあまりありません。
「歯の治療=何回も通うもの」というイメージをお持ちの方にとっては、この“通院回数の少なさ”は大きなメリットといえるでしょう。忙しい方や、なるべく短期間で見た目を整えたい方にも向いている治療です。
では、実際の施術の流れの中で、どこに時間がかかるのでしょうか。
ICON治療では、単に薬剤を塗るだけでなく、
・歯の表面をきれいにするクリーニング
・薬剤による前処理
・レジンの浸透・硬化
といったステップを丁寧に行います。
特に重要なのが、レジンをしっかり浸透させる工程です。ここが不十分だと仕上がりに影響が出るため、時間をかけて丁寧に処置を行う必要があります。そのため、短時間とはいえ“雑に終わる治療”ではなく、見た目の仕上がりを左右する繊細な処置であることも知っておいていただきたいポイントです。
また、白濁の状態によっては、1回の施術で十分な変化が得られない場合に、追加で処置を行うこともあります。ただしその場合でも、大がかりな通院になることは少なく、比較的負担の少ない範囲で調整できることがほとんどです。
「仕事帰りに少し寄って治療できる」「1回である程度きれいになる」
この手軽さと効率の良さも、ICON治療が選ばれている理由のひとつです。
忙しい毎日の中でも取り入れやすい治療だからこそ、気になっている白濁をそのままにせず、早めに一歩踏み出してみるのもよいかもしれません。
削られるの?
ICON治療についてお話しすると、多くの方が気にされるのが「本当に削らないんですか?」という点です。
歯科治療=削るもの、というイメージがあるため、不安に感じるのはとても自然なことだと思います。
結論からお伝えすると、ICON治療は基本的に歯を削らない治療です。
一般的なむし歯治療では、感染している部分を取り除くためにドリルで歯を削る必要がありますが、ICONはそういった処置を行いません。白濁が起きているエナメル質の内部に対して、専用のレジンを“浸透させる”ことで見た目を整えるため、健康な歯質を削り取る必要がないのです。
ただし、ここでひとつ知っておいていただきたいのが、ICON治療では薬剤を使って歯のごく表面を整える工程があるという点です。
この処理によって、レジンがしっかりと内部まで入り込みやすくなります。
この工程を「削るのでは?」と心配される方もいらっしゃいますが、ドリルで物理的に削る処置とは異なり、目に見えて歯の形が変わるような削除ではありません。あくまで、ミクロレベルで表面の状態を整えるイメージに近い処置です。
そのため、治療後に「歯が小さくなった」「形が変わった」と感じることはほとんどなく、ご自身の歯をそのまま活かした状態で見た目の改善を目指すことができます。
また、歯を削らないということは、将来的なメリットにもつながります。
一度削ってしまった歯は元に戻ることがなく、詰め物や被せ物は時間の経過とともにやり替えが必要になる場合もあります。一方、ICONは歯質を大きく変えないため、歯へのダメージを最小限に抑えながらケアできる方法といえます。
もちろん、すべての白濁が削らずに対応できるわけではありませんが、「削るしかないと思っていた」という方にとっては、大きな安心材料になるのではないでしょうか。
「できるだけ歯を残したい」「将来のことも考えて治療を選びたい」
そんな方にとって、ICON治療はとてもやさしい選択肢のひとつです。
気になる方はお気軽にご相談ください
ここまでお読みいただき、「自分のこの白いシミも治せるのかな?」と感じていただけた方もいらっしゃるのではないでしょうか。
矯正後にできた白濁は、「仕方ないもの」と思われがちですが、実は削らずに改善できる可能性がある状態です。
ただし、白濁の深さや原因によって適した治療方法は異なるため、まずはしっかりと状態を見極めることがとても大切です。
当院では、歯の状態を丁寧に確認したうえで、
・ICON治療が適しているのか
・他の方法の方がよいのか
を分かりやすくご説明し、患者さまに合ったご提案を行っています。
「これって治療した方がいいの?」
「自分の歯でもICONできる?」
といった段階でも、もちろん大丈夫です。無理に治療をすすめることはありませんので、まずはお気軽にご相談ください。
また、実際の治療のイメージが気になる方は、こちらの動画も参考にしてみてください👇https://youtu.be/01d-bg66YRg?si=6yiOiCmUZ5R1KOh6
カテゴリ
- 虫歯 (55)
- 歯周病 (39)
- 小児歯科 (17)
- 矯正歯科 (31)
- 口腔外科 (12)
- 親知らず (5)
- 顎関節症 (9)
- 噛み合わせ異常 (20)
- マイクロエンド (5)
- セラミック (28)
- インプラント (19)
- 小児矯正 (19)
- マウスピース矯正 (40)
- ワイヤー矯正 (30)
- 部分矯正 (22)
- ホワイトニング (36)
- デンタルエステ (46)
- デンタルIQ (126)
- スタッフブログ (121)
アーカイブ
- 2026年4月 (1)
- 2026年3月 (6)
- 2026年2月 (4)
- 2026年1月 (4)
- 2025年12月 (4)
- 2025年11月 (5)
- 2025年10月 (4)
- 2025年9月 (4)
- 2025年8月 (5)
- 2025年7月 (4)
- 2025年6月 (5)
- 2025年5月 (4)
- 2025年4月 (4)
- 2025年3月 (5)
- 2025年2月 (4)
- 2025年1月 (4)
- 2024年12月 (4)
- 2024年11月 (5)
- 2024年10月 (4)
- 2024年9月 (4)
- 2024年8月 (5)
- 2024年7月 (4)
- 2024年6月 (5)
- 2024年5月 (4)
- 2024年4月 (4)
- 2024年3月 (5)
- 2024年2月 (4)
- 2024年1月 (4)
- 2023年12月 (6)
- 2023年11月 (2)
- 2023年10月 (6)
- 2023年9月 (3)
- 2023年8月 (5)
- 2023年7月 (4)
- 2023年6月 (4)
- 2023年5月 (5)
- 2023年4月 (3)
- 2023年3月 (3)
- 2023年2月 (4)
- 2023年1月 (4)
- 2022年12月 (3)
- 2022年11月 (2)
- 2022年10月 (1)
- 2022年9月 (1)
- 2022年8月 (6)
- 2022年7月 (4)
- 2022年6月 (1)
- 2022年5月 (5)
- 2021年10月 (4)
- 2021年9月 (12)
- 2021年8月 (1)





