和光市歯医者・矯正歯科|和光市デンタルオフィス
コラム・ブログ
COLUMN・BLOG
メタルコアはとても危険!

みなさんよくご存知の通り、
一般的に歯の大部分が欠けてしまった場合などは、
「差し歯」治療を行うことが多いです。
では、質問です。
“差し歯”
というものはどういうものでしょうか??
答えは、土台とかぶせものを指します。
「差し歯=土台+かぶせもの」
です。
歯の根っこの中に差し込んでいる歯なのですが、
これが取れる時は
ほとんど
土台+かぶせものがセットで外れてくることが多いです。
昔はこの差し歯がすぐ外れると、
「なんでこんな簡単に外れるの?」
と患者さんから言われてしまいますから
昔の歯科医院では
とにかく外れないことに重きを置いている先生が多かったのです。
そのため
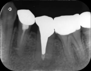
画像の通り、
かなり歯の深いところまで
長く
太い
金属の土台(メタルコア)が入ってしまっています。

これなら
確かに外れにくいとは思いますが、
大きな問題が生じてきます。
それは何かと言いますと・・・
「歯根破折」です。
食事の際、噛むと激痛が走るということで
当院を受診された患者様ですが、

歯の根っこが完全に亀裂が入り
割れてしまっていました。

以下の図のように

歯が乾燥した木の幹だと考えてもらえば、
メタルコアは鉄くぎに近い存在です。
当然強い力がかかれば
幹が裂けるように
歯が割れてしまうでしょう。
差し歯をする際は
外れないことも重要ではあるのですが、
歯が割れないように守ることもかなり重要です。
当院ではメタルコアを多用することなく、安全な素材・治療をご提案しております。
メタルコアが入ってしまっている方はぜひ当院で一度相談を受けてみてくださいね。
カテゴリ
- 虫歯 (58)
- 歯周病 (42)
- 小児歯科 (17)
- 矯正歯科 (31)
- 口腔外科 (12)
- 親知らず (5)
- 顎関節症 (9)
- 噛み合わせ異常 (20)
- マイクロエンド (5)
- セラミック (28)
- インプラント (19)
- 小児矯正 (19)
- マウスピース矯正 (40)
- ワイヤー矯正 (30)
- 部分矯正 (22)
- ホワイトニング (36)
- デンタルエステ (46)
- デンタルIQ (129)
- スタッフブログ (124)
アーカイブ
- 2026年4月 (4)
- 2026年3月 (6)
- 2026年2月 (4)
- 2026年1月 (4)
- 2025年12月 (4)
- 2025年11月 (5)
- 2025年10月 (4)
- 2025年9月 (4)
- 2025年8月 (5)
- 2025年7月 (4)
- 2025年6月 (5)
- 2025年5月 (4)
- 2025年4月 (4)
- 2025年3月 (5)
- 2025年2月 (4)
- 2025年1月 (4)
- 2024年12月 (4)
- 2024年11月 (5)
- 2024年10月 (4)
- 2024年9月 (4)
- 2024年8月 (5)
- 2024年7月 (4)
- 2024年6月 (5)
- 2024年5月 (4)
- 2024年4月 (4)
- 2024年3月 (5)
- 2024年2月 (4)
- 2024年1月 (4)
- 2023年12月 (6)
- 2023年11月 (2)
- 2023年10月 (6)
- 2023年9月 (3)
- 2023年8月 (5)
- 2023年7月 (4)
- 2023年6月 (4)
- 2023年5月 (5)
- 2023年4月 (3)
- 2023年3月 (3)
- 2023年2月 (4)
- 2023年1月 (4)
- 2022年12月 (3)
- 2022年11月 (2)
- 2022年10月 (1)
- 2022年9月 (1)
- 2022年8月 (6)
- 2022年7月 (4)
- 2022年6月 (1)
- 2022年5月 (5)
- 2021年10月 (4)
- 2021年9月 (12)
- 2021年8月 (1)





