和光市歯医者・矯正歯科|和光市デンタルオフィス
コラム・ブログ
COLUMN・BLOG
インビザライン症例④-歯を抜かずに治す方法-
今回はこの症例です。


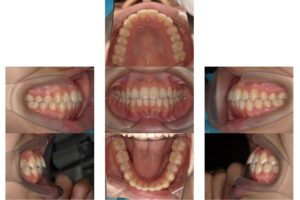
正面

上顎

下顎
こちらの患者様も、スペース不足によって前歯が凸凹になってしまっています。
顎の側方骨幅に余裕があり、
「歯列の側方拡大」とIPR(歯の側面を0.5mm以内で削る)という方法のみで
非抜歯矯正で治療ができました。


正面

上顎

下顎
今回の治療期間は「9ヶ月」!!!
透明なマウスピース矯正で
目立たない矯正を始めてみませんか???
当院の歯並びの無料相談へお越しください!
[情報]
患者:M.F様
主訴:前歯の凸凹を治したい
方法: 非抜歯 IPR(歯の側面削る)有 歯列拡大を設計したマウスピース(インビザライン )を1日22時間以上、口腔内へ装着を行う 必要に応じてゴム掛けも行う
通院回数:5回程度(2ヶ月に1回)
治療(動的)期間:9ヶ月
治療(静的)期間:1-2年
費用:
相談(0円)
検査・診断(税込55000円) *ご契約後にキャッシュバックで全額割引対象
当院のスタンダードコース(税込77万円) *分割できます。業界最安のローン手数料対応可能です。
保定装置(税込33000円)
副作用とリスク:
設計通りに歯が動いてこない場合は追加でマウスピースを発注する可能性があり、その場合、治療期間の延長があります。
あとは
動的治療では、歯肉退縮・歯根吸収・歯髄失活など
静的治療では、後戻りのリスクなど
がございます。
(歯科用語の解説)
*動的治療とは、歯を積極的に動かしていく治療を意味します。
*静的治療とは、歯をそのままの位置で保つ治療を意味します。保定とも言います。
カテゴリ
- 虫歯 (61)
- 歯周病 (45)
- 小児歯科 (17)
- 矯正歯科 (31)
- 口腔外科 (12)
- 親知らず (8)
- 顎関節症 (9)
- 噛み合わせ異常 (21)
- マイクロエンド (5)
- セラミック (28)
- インプラント (19)
- 小児矯正 (19)
- マウスピース矯正 (40)
- ワイヤー矯正 (30)
- 部分矯正 (22)
- ホワイトニング (36)
- デンタルエステ (46)
- デンタルIQ (129)
- スタッフブログ (124)
アーカイブ
- 2026年5月 (3)
- 2026年4月 (4)
- 2026年3月 (6)
- 2026年2月 (4)
- 2026年1月 (4)
- 2025年12月 (4)
- 2025年11月 (5)
- 2025年10月 (4)
- 2025年9月 (4)
- 2025年8月 (5)
- 2025年7月 (4)
- 2025年6月 (5)
- 2025年5月 (4)
- 2025年4月 (4)
- 2025年3月 (5)
- 2025年2月 (4)
- 2025年1月 (4)
- 2024年12月 (4)
- 2024年11月 (5)
- 2024年10月 (4)
- 2024年9月 (4)
- 2024年8月 (5)
- 2024年7月 (4)
- 2024年6月 (5)
- 2024年5月 (4)
- 2024年4月 (4)
- 2024年3月 (5)
- 2024年2月 (4)
- 2024年1月 (4)
- 2023年12月 (6)
- 2023年11月 (2)
- 2023年10月 (6)
- 2023年9月 (3)
- 2023年8月 (5)
- 2023年7月 (4)
- 2023年6月 (4)
- 2023年5月 (5)
- 2023年4月 (3)
- 2023年3月 (3)
- 2023年2月 (4)
- 2023年1月 (4)
- 2022年12月 (3)
- 2022年11月 (2)
- 2022年10月 (1)
- 2022年9月 (1)
- 2022年8月 (6)
- 2022年7月 (4)
- 2022年6月 (1)
- 2022年5月 (5)
- 2021年10月 (4)
- 2021年9月 (12)
- 2021年8月 (1)





