和光市歯医者・矯正歯科|和光市デンタルオフィス
コラム・ブログ
COLUMN・BLOG
【気になるホワイトニング後のメンテナンス!ポリリンホワイトニング症例】
ホワイトニングってすぐ戻っちゃう・・・
そんな言葉をよく耳にします。
確かに、ホワイトニングは永久的ではありませんので、
なにもケアをしなければ早いうち後戻りしてしまいます。
しかし、一度ホワイトニングをして後戻りしても、施術が無駄になるわけではありません。
先日のブログでご紹介させていただいた患者様のその後をご紹介します。
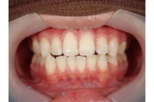
↓こちらは、3回コースを終えた直後のお写真です。

↓こちらはその1年後のお写真です。

ホワイトニング施術する前よりは明るいですが、少し後戻りをしています。
日々のご飲食と加齢による色素の沈着がどうしてもあるので、戻ってしまいます。
ご相談の上、WhiteTime適応の初回1回コースを施術させていただきました。
↓直後のお写真がこちらです

1回でもだいぶ明るくなりました!!
並べてみると分かりやすいと思います。


これで、過去のホワイトニングは無駄じゃなかったとご安心していただけると思いますので、
半年から一年に一度はメンテナンス的にホワイトニングしていただくことをお勧めします。
ただ、色の戻り具合やどれぐらい白くなるのかというのは、
食生活・年齢・歯質によるためどうしても個人差はあります。
元々黄ばみが強い方や、コーヒー・紅茶を飲まれる方は、プラスαのホームケアをすると、
お色のキープがしやすくなると思います。
詳しくは、こちらの記事をご覧ください。
https://www.wakoshi-dental.com/blog/2371/
ホワイトニングしたことある方も、ない方も、
是非和光市デンタルオフィスへお越しください。
【患者様情報】
GM様男性
主訴:後戻りした
期間:1日
方法:ポリリンホワイトニング1回コースwhite time適応
初回¥9,680(税込)
和光市デンタルオフィススタッフ
カテゴリ
- 虫歯 (60)
- 歯周病 (44)
- 小児歯科 (17)
- 矯正歯科 (31)
- 口腔外科 (12)
- 親知らず (7)
- 顎関節症 (9)
- 噛み合わせ異常 (21)
- マイクロエンド (5)
- セラミック (28)
- インプラント (19)
- 小児矯正 (19)
- マウスピース矯正 (40)
- ワイヤー矯正 (30)
- 部分矯正 (22)
- ホワイトニング (36)
- デンタルエステ (46)
- デンタルIQ (129)
- スタッフブログ (124)
アーカイブ
- 2026年5月 (2)
- 2026年4月 (4)
- 2026年3月 (6)
- 2026年2月 (4)
- 2026年1月 (4)
- 2025年12月 (4)
- 2025年11月 (5)
- 2025年10月 (4)
- 2025年9月 (4)
- 2025年8月 (5)
- 2025年7月 (4)
- 2025年6月 (5)
- 2025年5月 (4)
- 2025年4月 (4)
- 2025年3月 (5)
- 2025年2月 (4)
- 2025年1月 (4)
- 2024年12月 (4)
- 2024年11月 (5)
- 2024年10月 (4)
- 2024年9月 (4)
- 2024年8月 (5)
- 2024年7月 (4)
- 2024年6月 (5)
- 2024年5月 (4)
- 2024年4月 (4)
- 2024年3月 (5)
- 2024年2月 (4)
- 2024年1月 (4)
- 2023年12月 (6)
- 2023年11月 (2)
- 2023年10月 (6)
- 2023年9月 (3)
- 2023年8月 (5)
- 2023年7月 (4)
- 2023年6月 (4)
- 2023年5月 (5)
- 2023年4月 (3)
- 2023年3月 (3)
- 2023年2月 (4)
- 2023年1月 (4)
- 2022年12月 (3)
- 2022年11月 (2)
- 2022年10月 (1)
- 2022年9月 (1)
- 2022年8月 (6)
- 2022年7月 (4)
- 2022年6月 (1)
- 2022年5月 (5)
- 2021年10月 (4)
- 2021年9月 (12)
- 2021年8月 (1)





